Пн-Пт: с 9:00 до 20:45
Сб: с 9:00 до 20:00
Вс: с 10:00 до 17:00
+7 (3452) 699-992 Обратный звонок
Меню
Металлокерамические коронки
Металлокерамические коронки

Хотите восстановить зубы надежными и доступными по цене КОРОНКАМИ? Поставить прочные и эстетичные ИЗДЕЛИЯ из металлокерамики - оптимальный вариант. Опытные ортопеды клиники Практик обеспечат предельно-точный результат благодаря индивидуальному цифровому протоколу.

Металлокерамические коронки

Металлокерамическая коронка изготавливается из металлического каркаса, покрытого сверху керамикой. Зубной техник наносит ее тонкими слоями, передавая особенности ваших зубов — их форму и цвет.
Коронки и мосты из металлокерамики получаются прочными и относительно эстетичными. С их помощью восстанавливаются один или несколько отсутствующих зубов. Также возможно восстановление целого зубного ряда.

Особенности конструкций

Металлическая основа немного просвечивает сквозь слои керамики, и коронка выглядит слегка серой. Особенно это распространяется на передние зубы. Поэтому ее рекомендуют только для восстановления боковых зубов. Среди преимуществ конструкций:

  • Прочность. За счет металлического сплава каркаса они легко выдерживают ежедневные жевательные нагрузки. Таким же свойством обладают реставрации из диоксида циркония.
  • Универсальность. Конструкции устанавливают как на родные зубы, так и на имплантаты.
  • Долговечность. При регулярной процедуре уходе коронки служат более 5 лет, сохраняя свой внешний вид и функциональность.
Металлокерамические коронки

Основные преимущества

Пациенты часто задают вопрос о том, какими достоинствами обладают металлокерамические коронки на зубы, в чем их преимущество? В первую очередь, это прочная, долговечная конструкция, которая не впитывает посторонних запахов, устойчивая к воздействию бактерий. А еще металлокерамические коронки на зубы не отличаются от настоящих зубов по характеристикам: человек не теряет естественную жевательную функцию.

Радует также цена металлокерамических коронок, которые доступные всем.

Среди других преимуществ:

  • отсутствие воспалительных процессов, аллергических реакций;
  • со временем изделие не стирается, не теряет цвет;
  • высокая прочность, стойкость к твердым продуктам питания;
  • универсальность: конструкция может быть установлена на родные зубы или на имплантаты;
  • безопасность для организма человека. В составе такой конструкции нет вредных веществ.

Металлокерамические коронки

При изготовлении металлокерамических коронок врачи применяют лицевую дугу и артикулятор. С помощью них исследуется траектория движения челюсти, чтобы готовые коронки идеально соответствовали вашему прикусу.


Этапы изготовления

Металлокерамическая коронка - это конструкция, состоящая из каркаса и верхнего керамического слоя. Работа – профессиональная и ювелирная: зубной техник тонкими слоями наносит керамику, создавая форму, подбирая цвет.

Основная задача – это изготовить конструкцию, которая бы идеально соответствовала прикусу, траектории движения челюсти, обладала природным цветом.

Основные клинико-лабораторные этапы:

  • подготовка культи зуба;
  • снятие оттисков для дальнейшего изготовления макета в условиях лаборатории;
  • выбор подходящего оттенка. У каждого человека свой оттенок зубов от природы, а значит не уместно применять один цвет для всех;
  • фиксация: готовое изделие фиксируется в полости рта на специальный стоматологический цемент.

Цифровая точность

Керамические вкладки мы изготавливаем с помощью системы CAD/CAM. На основе цифровых слепков зубов врач моделирует 3D-макет будущего изделия, а высокоточный фрезер вытачивает по нему микропротез. Вкладка идеально займет свое место и станет достойной альтернативой пломбам.

Металлокерамические коронки

Срок службы

Чтобы поставить металлокерамические коронки и наслаждаться ими долго, нужно соблюдать некоторые процедуры. При соблюдении всех правил гигиены срок службы металлокерамической коронки большой. Главное придерживаться простых правил гигиены:

  • ежедневная чистка;
  • применение ирригатора;
  • употребление здоровой, правильной пищи.

Лучше не раскусывать леденцы, косточки, ореховую скорлупу.
И главный момент: процесс изготовления, установления коронок стоит доверять опытным специалистам.


Недостатки металлокерамики

Металлокерамика может вызвать аллергию у некоторых пациентов. При контакте со слюной появляется раздражение в виде жжения, припухлости десны и появления металлического привкуса. Кроме того, металлическая основа может быть видна снизу керамической облицовки. Это редкие случаи, и большинство пациентов не испытывают никаких проблем с металлокерамическими коронками. Тогда циркониевые коронки будут альтернативным вариантом.

Когда показана установка металлокерамических коронок

Наличие определенных дефектов зубного ряда может стать показаниями к тому, чтобы заместить их металлокерамикой. Это актуально в следующих ситуациях:

  • Ткани зубов травмированы, сильно разрушены кариесом или установлена пломба больших размеров.
  • Стираются твердые зубные ткани. Такое происходит, если нарушен прикус, если есть проблемы с височно-нижнечелюстным суставом, а также из-за бруксизма.
  • Зубы меняют цвет, форму, структуру. Это возможно при унаследованных патологиях эмали, а также при микродентии, клиновидном дефекте, флюорозе, тетрациклиновых зубах.

Кроме того, новый протез из металлокерамики может быть установлен вместо старого. Изготовление, как и замена, не занимает много времени.

Когда процедура противопоказана

Устанавливать металлокерамические протезы недопустимо в ряде случаев:

  • в подростковом возрасте, если пульпа остается живой;
  • недостаточно тканей, чтобы сошлифовать их, не рискуя вскрыть полость зуба;
  • имеются крупные включенные дефекты, есть риск, что отколется керамика или деформируются мостовидные конструкции.

С осторожностью процедуру проводят при:

  • тяжелом пародонтите;
  • беременности;
  • нарушенной функциональности жевательных мышц;
  • патологиях ротовой полости, включая герпес и ОРВИ;
  • недостаточной высоте коронковой части.

Стоматологу необходимо определить, можно ли проводить лечение, и подобрать подходящую коронку. В нашей клинике врачи примут все ваши пожелания в расчет.

Как подготовиться к протезированию металлокерамикой

Перед реставрированием необходимо сделать следующее:

  • Обработать зуб. Надо удалить кариес, снять старые пломбы, обточить зуб под коронку с небольшим уступом (применяется местное обезболивание), поставить временную коронку.
  • Депульпировать и запломбировать канал. Иногда сохранение живой пульпы возможно. Но реставрация чаще выполняется, когда зуб сильно разрушен, так что надо провести эндодонтию и запломбировать каналы.
  • Установить штифт или культевую вкладку. Они делают возможным укрепление зуба даже при его разрушении более чем наполовину.

Как ухаживать за металлокерамическими коронками

Рекомендации по уходу, способные продлить срок службы:

  • чистка зубов — по два раза ежедневно;
  • использование щетки с мягкими щетинками;
  • применение флосс-нити и ирригатора;
  • регулярные профилактические осмотры у стоматолога;
  • гигиеническая чистка, удаление отложений на зубах;
  • отказ от курения и прочих вредных привычек.

Не следует также грызть семечки, ногти. Тогда коронки прослужат дольше.


Цена услуг

Металлокерамические коронки
Восстановление зуба металлокерамической реставрацией
от 35 000 ₽
Восстановление зуба металлокерамической реставрацией на имплантате (без учета стоимости абатмента и титанового основания)
от 19 800 ₽
Консультация
Прием (осмотр, консультация) врача стоматолога-терапевта первичный
1 100 ₽
Диагностика
Ортопантомография цифровая (ОПТГ); Панорамный 3Д-снимок всей челюсти
от 500 -  1500 ₽
ТРГ, 1 проекция
от 1 430 ₽

С полным прайс-листом услуг Вы можете ознакомиться на странице "Цены".

Наши специалисты

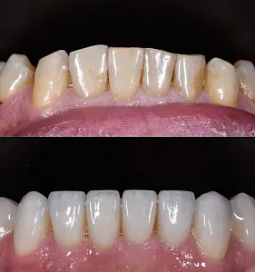
До и после

Результаты лечения
Результаты лечения
Результаты лечения
Адрес/телефон:
г. Тюмень, улица 8 Марта, 1
+7 (3452) 699-992
Мы наблюдаем агрессивный конкурентный трафик в виде звонков и сообщений от конкурентов нашим клиентам. Подобные звонки и сообщения осуществляются через бизнес сервис сотовых операторов. Для отключения таких звонков и сообщений: проверьте свой контракт с сотовым оператором и отключите функцию «согласие на сообщения и звонки от базы партнеров сотового оператора»
ВВЕРХ