Пн-Пт: с 9:00 до 20:45
Сб: с 9:00 до 20:00
Вс: с 10:00 до 17:00
+7 (3452) 699-992 Обратный звонок
Меню

Иващенко Андрей Николаевич

Специализация: Ведущий стоматолог-ортопед, стоматолог-хирург
Стаж работы: 16 лет

Основной задачей в лечении пациентов считаю создание комфортной жевательной системы организма. В своей работе придерживаюсь принципов эстетико-функциональной стоматологии.

Андрей Николаевич один из лучших специалистов в области ортопедии в Тюмени. Владеет современными методиками протезирования, регулярно повышает свою квалификацию. Восстановит вашу улыбку, которой вы будете наслаждаться долгие годы. Врач делает акцент на долговечность и комфортное использование всех восстановленных зубов пациента с учетом правильной работы височно-нижнечелюстного сустава и жевательной мускулатуры!

Андрей Николаевич в совершенстве владеет мануальными навыками и знаниями по протезированию на имплантатах, установке коронок, виниров, зубных протезов и всего, чем наполненная современная стоматология.

Андрей Николаевич – стоматолог-ортопед со значимым опытом работы (общий стаж 15 лет), поэтому можете быть уверены, что ваша улыбка в надёжных руках.

В 2024 году Андрей Николаевич получил заслуженное второе место среди стоматологов-ортопедов в рейтинге «ПроДокторов» в Уральском федеральном округе.

В 2023 году Андрей Николаевич получил звание "Профессионал отрасли 2023" в области стоматологии за высокое качество предоставляемых услуг, внедрение научного подхода и передовых методик лечения.

Информация об образовании

Окончил в 2010 году Пермскую государственную медицинскую академию им академика Е.А. Вагнера, по специальности «Стоматология».

В 2015 год прошел профессиональную переподготовку «Стоматология хирургическая» в Тюменском государственном медицинском университете.

Действующие сертификаты:

№0172310012557 Стоматология ортопедическая до 12.11.2025 г

Образование

Иващенко Андрей Николаевич

Статьи специалиста:

Сертификаты и дипломы врача

Сертификаты и дипломы Иващенко Андрей Николаевич
Сертификаты и дипломы Иващенко Андрей Николаевич
Сертификаты и дипломы Иващенко Андрей Николаевич
Сертификаты и дипломы Иващенко Андрей Николаевич
Сертификаты и дипломы Иващенко Андрей Николаевич
Сертификаты и дипломы Иващенко Андрей Николаевич
Сертификаты и дипломы Иващенко Андрей Николаевич
Сертификаты и дипломы Иващенко Андрей Николаевич
Сертификаты и дипломы Иващенко Андрей Николаевич
Сертификаты и дипломы Иващенко Андрей Николаевич
Сертификаты и дипломы Иващенко Андрей Николаевич
Сертификаты и дипломы Иващенко Андрей Николаевич
Сертификаты и дипломы Иващенко Андрей Николаевич
Сертификаты и дипломы Иващенко Андрей Николаевич
Сертификаты и дипломы Иващенко Андрей Николаевич
Сертификаты и дипломы Иващенко Андрей Николаевич

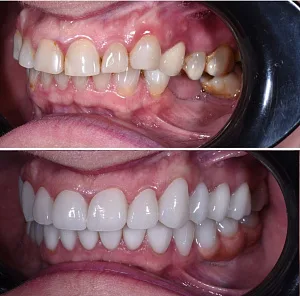
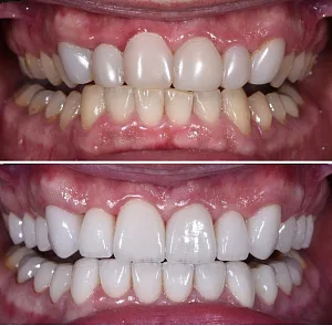
До и после

Работы специалиста
Работы специалиста
Работы специалиста
Работы специалиста
Работы специалиста
Работы специалиста
Работы специалиста
Работы специалиста
Работы специалиста
Работы специалиста
Работы специалиста
Работы специалиста
Работы специалиста
Работы специалиста
Работы специалиста
Работы специалиста
Работы специалиста
Работы специалиста
Работы специалиста
Работы специалиста

Отзывы о враче Иващенко Андрей Николаевич


Врач Иващенко Андрей Николаевич просто разводит на деньги. Я хотела  вставить  отсутствующие зубы, он предложил мне удалить несколько здоровых живых зубов и поставить имплантаты, на все нормальные зубы поставить виниры. Быстро насчитал на калькуляторе полтора  миллиона.. У настоящего врача есть заповедь: " Не навреди". Андрею Николаевичу  хочется просто рубить бабло. Не  рекомендую  этого дельца.

Достойнейшие врачи. Провели сложное протезирование безупречно, а предстояло немало работы. От всей души благодарю Андрея Николевича за качественную работу!

Долго искал нормальную стоматологию, где все можно сделать в одном месте. В Практике как раз так и получилось - диагностика, лечение – все сразу. Был у Андрея Николаевича, очень внимательно рассмотрел мою ситуацию, подробно и доступно объяснил мне всю работу поэтапно, составил финансовый план. Результат понравился. В конце каждого визита врач давал полезные рекомендации. Администратор помогла оформить документы для налогового вычета. Огромное спасибо врачу и всему персоналу!

Был на приёме у Андрея Николаевича, всё чётко и быстро. Оборудование новое, видно что профессионалы. Рекомендую.

Недавно завершил протезирование зубов у Андрея Николаевича Иващенко в клинике Практик. С первой консультации отметил его профессионализм и внимательное отношение. Такое чувство, что доктор реально переживает за результат. Сам процесс был небыстрым. Но результат превзошел ожидания зубы выглядят естественно, за что отдельное спасибо технику. Десна прилегает идеально, никаких ощущений чужеродности. За свою жизнь пришлось много к кому обращаться, поэтому есть с чем и с кем сравнивать. Андрей Николаевич — настоящий мастер своего дела и спасибо всему персоналу клиники.

Я обратился в данную клинику с очень серьезной проблемой. Почти 10 лет я терпел зубную боль. Все время откладывал поход к врачу на потом. Но когда началось разрушение зубов, сразу решил обратиться за помощью. Впервые, придя в клинику, я попал к Андрею Николаевичу Иващенко. Доктор действительно профессионал своего дела! Полтора года я проходил лечение под его четким руководством. И хочу сказать, что я абсолютно доволен выполненной работой. Хочется выразить огромную благодарность доктору от благодарного пациента за то, что подарил возможность полноценно жить!

Отличная стоматологическая клиника! Более десяти лет лечим зубы только в Практик. Администраторы всегда напоминают о предстоящем приеме, пригласят на профилактический осмотр. Для меня это важно: из-за загруженности иногда забываешь посетить стоматолога вовремя. Самое главное в стоматологии Практик — это врачи, которым я без сомнения могу доверить свое здоровье и жизнь своих близких. Хочу отметить стоматолога ортопеда Иващенко Андрея Николаевича. Вообще все специалисты высокого уровня, хочу и дальше лечиться в этой клинике! Хочу добавить о чистоте и уюте здесь. Желаю процветания коллективу клиники!

Познакомилась с работой Андрея Николаевича, когда пришлось ставить имплантаты. Первое впечатление - «такой молодой и ставит зубы? Ну не знаю, подумала я». После моих дотошных вопросов о зубах, последствиях, возможных проблемах, цветовой гамме, форме, сроках установки и времени носки я перестала сомневаться в профессиональности врача. А когда пришла на установку моих зубов, я обомлела, какие они красивые и ну очень похожи на настоящие. В общем, если судьба вас сводит с Иващенко А. Н. - не сомневайтесь, вы на верном пути.

Хотела бы выразить слова благодарности от всей души своему стоматологу Иващенко Андрею Николаевичу, к которому я хожу уже 4 года. Я не побоюсь этих слов, Андрей Николаевич-стоматолог с золотыми руками, внимательный, предусмотрительный, аккуратный, вежливый, доверяю ему свои зубы, все во имя здоровья и шикарной улыбки, которая обязательно будет, благодаря Андрею Николаевичу. Помимо таких человеческих качеств, Андрей Николаевич врач от Бога- знает как поступить в той или иной ситуации, постоянно совершенствует свои знания в профессиональной сфере, использует новые технологии- самый настоящий профессионал! В общем, прогресс в деятельности Андрея Николаевича не стоит на месте, а только растет, как и его опыт.

В невероятном восторге от лечения! Спасибо ортопеду Иващенко Андрею Николаевичу за идеальную работу, очень кропотливо все выполнено. Давно наблюдаюсь у него и полностью доверяю! Анестезию ставят реально без боли, хотя я всегда боялась именно её. Все врачи очень внимательные, отвечают за свою работу, дают гарантию, делают всё по совести! В стоматологии все вежливые, комфортные зоны ожидания, везде чисто)

Обратилась в клинику «Практик» на консультацию. Не знала, что делать с болями жевательных мышц и щелчками в суставе, знакомая посоветовала стоматолога-ортопеда Иващенко Андрея Николаевича. Провели обследование и изготовили капу, через несколько недель стало намного лучше. Сейчас прохожу ортодонтическое лечение. Очень благодарна Андрею Николаевичу за профессионализм, внимательное отношение и отзывчивость. Рекомендую всем своим знакомым этого специалиста.

Отличная клиника в самом центре Тюмени. Предоставляют парковку! Обратился на основе рекомендации к Иващенко Андрею Николаевичу с проблемами открывания челюсти. Доктор дал развернутую информацию по моей проблеме, которую ранее никто не мог объяснить, предлагали да же поставить титановый протез! Андрей Николаевич назначил комплексное лечение, сейчас ношу капу. Результат ощутил с первого приёма. Честно был в шоке, так как считал, что проблема нерешаемая, рот практически не открывался. О самой клинике только положительные впечатления, очень приветливый и дружелюбный персонал, приятный сервис. Молодцы Практик так держать :like:

Оставить свой отзыв врачу

Текст отзыва *
Перетащите файлы
Ничего не найдено
Адрес/телефон:
г. Тюмень, улица 8 Марта, 1
+7 (3452) 699-992
Мы наблюдаем агрессивный конкурентный трафик в виде звонков и сообщений от конкурентов нашим клиентам. Подобные звонки и сообщения осуществляются через бизнес сервис сотовых операторов. Для отключения таких звонков и сообщений: проверьте свой контракт с сотовым оператором и отключите функцию «согласие на сообщения и звонки от базы партнеров сотового оператора»
ВВЕРХ