Пн-Пт: с 9:00 до 20:45
Сб: с 9:00 до 20:00
Вс: с 10:00 до 17:00
+7 (3452) 699-992 Обратный звонок
Меню
Реставрация зубов в Тюмени
Реставрация зубов в Тюмени

Среди стоматологических услуг реставрация зубов пользуется популярностью, поскольку помогает вернуть зубному ряду здоровье и эстетичный внешний вид. Такое лечение потребуется при появлении сколов, трещин, прочих дефектов.

Реставрация зубов в Тюмени

Современные технологии и материалы позволяют восстановить зуб, даже если он сильно разрушился; исправить сложные проблемы, из-за которых у пациента возникают боль и дискомфорт. Реставрация — процедура с хорошо прогнозируемым результатом. Восстановить зубы с помощью современных материалов удается за один-два приема.
При этом не возникает излишних рисков, так что пациенты любого возраста могут рассчитывать на восстановление здоровья и отличного внешнего вида зубов. Главное, доверить работу опытным, ответственным стоматологам, которые хорошо справятся с работой.

Показания к реставрации зубов


Данную процедуру рекомендуют проводить в следующих случаях:

  • Кариес средней или значительной тяжести.
  • Сколы и трещины зубов (например, после травмы или при стирании эмали).
  • Изменение цвета или пятна на эмали, не устраняемые отбеливанием.
  • Дефекты формы и размера зуба (врождённые или приобретённые).
  • Износ зубных тканей из-за неправильного прикуса или бруксизма.
  • Старые пломбы, требующие замены.

Кроме того, показаниями могут выступать слишком больших промежутков между зубами, деформирование их режущей части. Все перечисленные состояния могут не только ухудшить вид зубов, но и спровоцировать боль, дискомфорт, неприятные ощущения. От всего этого можно избавиться, если своевременно заказать реставрацию у врача.

Методы реставрации зубов


Существует два метода, по которым проводят процедуру.

Прямой

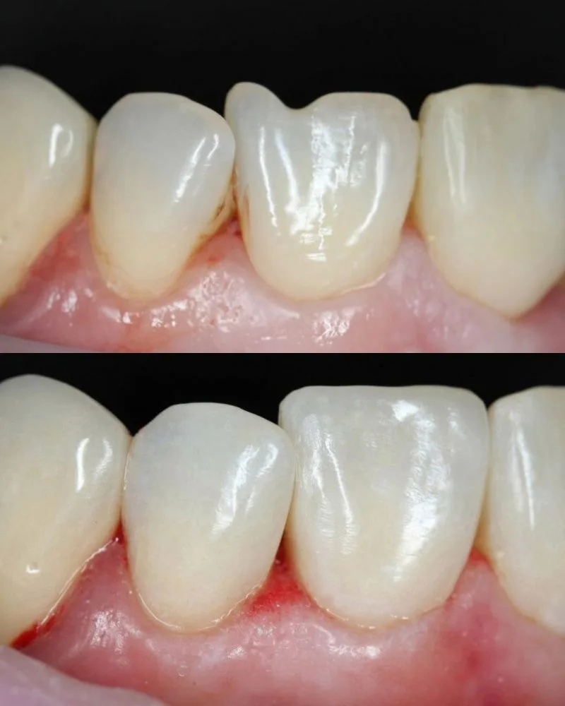
Весь процесс проводится в полости рта, форма зуба восстанавливается при помощи композитов. Фактически это пломбирование с тщательным подбором материалов. Сначала врач оценивает, в каком состоянии находятся корневые каналы. Затем он подбирает цвет, лечит кариес под анестезией, корректирует прикус и полирует поверхность. Это актуально для жевательных зубов. Их натуральный вид полностью сохраняется, поскольку подобранный материал сочетается с цветом эмали зубов, расположенных рядом.

реставрация зубов

Композитная реставрация – это прямая (с немедленным изготовлением) реставрация зуба с использованием светоотверждаемых композитных материалов (пломб).

  • Особенности: Процедура обычно выполняется за один визит и требует лишь минимальной подготовки зуба. Врач удаляет кариозные ткани и формирует зуб под будущую пломбу. Композит наносится слоями и полимеризуется специальной лампой. Цвет материала подбирается в точном соответствии с оттенком вашей эмали, поэтому отреставрированный зуб выглядит естественно.
  • Показания: Лечение неглубокого или среднего кариеса, исправление небольших сколов и трещин, устранение щели (диастемы) между зубами, косметическая коррекция формы (небольшие накладки на передние зубы). Композитная реставрация идеально подходит для фронтальных зубов и небольших дефектов.
  • Преимущества: Быстрота выполнения (один визит к стоматологу), щадящий подход (минимальное удаление зубной ткани), хорошая эстетика (натуральный цвет и блеск), доступная цена. При возникновении необходимости композит легко корректируется или меняется, что удобно при обновлении реставрации.
  • Ограничения: Более короткий срок службы по сравнению с керамикой (обычно 3–7 лет при правильном уходе). Композит может постепенно темнеть (особенно у курильщиков или при частом употреблении кофе/чая) и меньше устойчив к износу.

Композитная реставрация зубов – отличный вариант для срочного и недорогого восстановления. В клинике в Тюмени многие пациенты выбирают этот метод для обновления пломб или небольших косметических улучшений, так как это быстро и эффективно.


Непрямой

Непрямой метод реставрации зубов

Реставрация проводится с помощью вкладок, коронок, виниров. Это более комплексная процедура, которая необходима, если зуб сильно разрушен. После его удаления устанавливается коронка из подходящего материала: керамическая, композитная или циркониевая. Это помогает восстановить эстетичный внешний вид: искусственные элементы отличается прочностью, надежностью и долговечностью. Жевательная нагрузка заметно снижается, что избавляет пациента от дискомфорта.

В стоматологической практике применяются несколько основных методов реставрации, каждый из которых подходит для разных клинических ситуаций. В нашей клинике в Тюмени используются все современные технологии: от быстрых композитных реставраций за один визит до высокоточных керамических конструкций. Рассмотрим основные виды непрямой реставрации.


Виниры из керамики

Керамические виниры – это тонкие керамические «накладки» на переднюю поверхность зубов, создающие идеальную улыбку.

  • Особенности: Установка виниров требует предварительной подготовки – с зубов аккуратно снимается тонкий слой эмали (обычно около 0,5 мм). Затем снимается слепок или выполняется цифровое сканирование зубов. Виниры изготавливаются в лаборатории с учётом формы зубов конкретного пациента. Через несколько дней готовые керамические пластины фиксируются на зубах специальным адгезивом.
  • Показания: Сильное изменение цвета эмали (например, после лечения каналов), небольшие сколы или неровности на фронтальной поверхности зубов, косметическая коррекция формы или длины зубов, широкие промежутки (щели). Если нужно сделать улыбку максимально ровной и белой, виниры являются одним из лучших решений.
  • Преимущества: Виниры из керамики обладают высочайшей эстетикой – они точно имитируют натуральную зубную эмаль по цвету и прозрачности. Керамика устойчива к окрашиванию, поэтому виниры не желтеют со временем. Они долговечны (10–15 лет и дольше при правильном уходе) и не вызывают аллергии.
  • Ограничения: Высокая стоимость услуги и необходимость нескольких визитов (подготовка и фиксация). Нельзя вернуть исходную форму зуба без некоторой обточки эмали. При очень сильном разрушении зуба может потребоваться коронка, а не винир.
реставрация зубов

Керамические виниры в Тюмени предлагают пациентам из премиум-сегмента. Если вы мечтаете о «голливудской улыбке», именно виниры помогут получить идеальную форму и белизну зубов на долгое время.

Керамические вкладки и накладки

Керамические вкладки (inlay) и накладки (onlay) – это непрямые реставрации, изготовленные в лаборатории из прочной керамики или композита и затем фиксируемые на зуб.

  • Особенности: Зуб готовят так же, как под обычную пломбу, но затем делают слепок или сканирование. Вкладка (inlay) закрывает полость внутри жевательной поверхности зуба (между буграми), а накладка (onlay) дополнительно покрывает один или несколько бугров. Готовая вкладка или накладка из керамики точно соответствует анатомии зуба и цементируется на место.
  • Показания: Кариозные полости значительных размеров, когда композитная пломба может быстро износиться или раскрошиться. Замена крупных старых пломб, которые больше не держатся. Реставрация после удаления старых, некачественных материалов. Вкладка используется при поражении одного или нескольких жевательных бугров, онлей – когда требуется восстановить также один из скатов зуба.
  • Преимущества: Высокая прочность и точная подгонка. Керамические вкладки служат значительно дольше обычных композитных пломб (обычно 10–15 лет). Они почти не изменяют цвет и не стираются. При этом зуб обрабатывается бережнее, чем под коронку – сохраняется больше натуральной ткани. Кроме того, керамика является отличным теплоизолятором, что снижает чувствительность зуба.
  • Ограничения: Более высокая цена и необходимость как минимум двух визитов (подготовка и фиксация готовой конструкции). На изготовление в лаборатории может потребоваться несколько дней. Процедура занимает больше времени, но это оправдано долговечностью результата.

Керамические вкладки/накладки в Тюмени – оптимальный выбор для жевательных зубов при значительных повреждениях. Они восстанавливают зуб максимально точно и служат почти как новые «боковые» зубы, выдерживая серьёзную жевательную нагрузку.


Зубные коронки

реставрация зубными коронками

Коронка – это полное покрытие зуба (в виде «колпачка»), которое защищает остаток зуба и восстанавливает его форму.

  • Особенности: Чтобы установить коронку, зуб предварительно обтачивается, снимается слепок или выполняется цифровая модель. Затем в лаборатории изготавливается коронка из выбранного материала – это может быть металлокерамика (металлическая основа с керамическим покрытием), полностью керамические варианты (цирконий, дисиликаты лития и др.) или фарфор. На следующем визите готовая коронка примеряется и цементируется на подготовленный зуб. -
  • Показания: Сильное разрушение коронки зуба (например, после крупных пломб или травмы), когда другие виды реставраций неэффективны. Лечение глубокого кариеса с обширным удалением тканей. Установка коронки после эндодонтического лечения (удаления нерва), чтобы защитить зуб. Также коронки используются при протезировании – для изготовления мостовидных протезов и фиксации на имплантах.

  • Преимущества: Максимальная защита и восстановление утраченной структуры зуба. Коронки восстанавливают жевательную функцию даже самых разрушенных зубов. Материалы высокого класса (цирконий, E-max) дают отличную эстетику – коронки не отличаются по виду от натуральных зубов. Срок службы качественной коронки обычно составляет 10–15 лет (и более при правильном уходе).
  • Ограничения: Наибольшая стоимость среди всех методов реставрации. Значительная обточка зуба – приходится пожертвовать частью здоровой ткани. Процедура занимает больше времени (несколько визитов) и требует высокой квалификации стоматолога.

Зубные коронки в Тюмени ставят при самых сложных дефектах, когда нужно «спасти» зуб любой ценой. Они обеспечивают надёжность даже в экстренных случаях и возвращают пациенту уверенность в своей улыбке.


Реставрация зубов

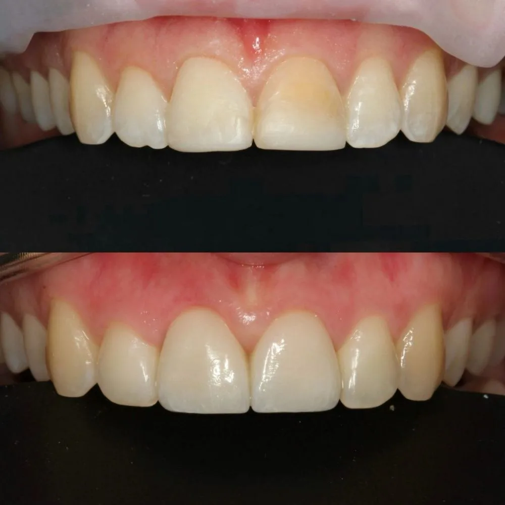
Реставрация передних зубов

Передние зубы реставрируют чаще других, поскольку их дефекты портят улыбку и тем самым снижают самооценку. Наибольшей эффективностью обладают виниры, однако они обходятся довольно дорого, поэтому процедуру также выполняют с помощью фотополимеров. Врач осуществляет диагностику, осматривает зубы, после чего очищает ткани от налета, делает снимок, проводит лечение от кариеса, снимает слепки для создания виниров. Они фиксируются достаточно быстро, не вызывая боли и неприятных ощущений.

Реставрация передних зубов

Реставрация жевательных зубов

За счет повышенной нагрузки жевательные зубы чаще подвергаются чрезмерной нагрузке. Для них важно не только восстановление внешнего вида и формы, но и сохранение функциональности. Для этого используются коронки, накладки и пломбы. Эти элементы изготавливаются из прочных материалов, способы их установки подбираются индивидуально. Благодаря современным технологиям возможна реставрация зубов, даже если в результате повышенной нагрузки они сильно разрушились.

Реставрация жевательных зубов

Этапы процедуры реставрации зубов

Реставрация зубов в нашем центре проходит в несколько этапов, каждый из которых проводится тщательно и с заботой о пациента:

  1. Консультация и диагностика. Врач осматривает ваши зубы, при необходимости делает рентген или 3D-снимок, чтобы оценить степень повреждения. Вы обсуждаете с доктором свои пожелания – устранение дефекта, улучшение цвета, бюджет. На основе осмотра составляется план лечения.
  2. Подготовка полости рта. Если у вас есть кариес, пульпит или воспаление дёсен, эти проблемы решают в первую очередь. Например, удаляют кариозные ткани, выполняют лечение каналов, проводят чистку зубов. Это важно для надёжного «приживания» реставрации.
  3. Подготовка зуба. Врач обезболивает зуб. Затем он удаляет поражённые ткани и придаёт зубу нужную форму. При композитной реставрации потребуется лишь небольшая выемка под материал. Для виниров или коронок эмаль обтачивается тонким слоем. Пациент при этом обычно не ощущает боли благодаря качественной анестезии.
  4. Снятие слепков или сканирование. Для вкладок, накладок, виниров и коронок делают слепок (отпечаток) зуба или сканируют его цифровым сканером. Это нужно, чтобы изготовить модель будущей реставрации с точными размерами. Цифровой скан ускоряет процесс и повышает точность изделия.
  5. Изготовление реставрации. Если это прямой метод (композит), на этом этапе врач прямо «лепит» пломбу. Если непрямой (виниры, вкладки, коронки), данные отправляются в зуботехническую лабораторию или выполняется изготовление на месте с помощью CAD/CAM (например, система CEREC позволяет изготовить коронку за несколько часов). Иногда пациент получает временную реставрацию для защиты зуба до следующего визита.
  6. Фиксация реставрации. На следующем приёме готовое изделие примеряют на зуб, при необходимости подгоняют. Затем врач цементирует его на место. При композитной реставрации материал формируют слоями и полимеризуют прямо в зубе.
  7. Финальная обработка и полировка. Стоматолог проверяет, как вы смыкаетесь (прикус). Если нужно, подправляет реставрацию, чтобы она идеально вписывалась в зубной ряд. Поверхность полируется до гладкого блеска, чтобы не было границ между реставрацией и эмалью.
  8. Рекомендации и контроль. Врач дает инструкции по уходу за новым реставрационным покрытием. Через несколько недель может быть назначен контрольный визит, чтобы убедиться, что всё прижилось без проблем (нет чувствительности, дискомфорта).

Все этапы проводят с учётом комфорта пациента: современная анестезия позволяет почувствовать только лёгкое покалывание при уколе, а во время самой процедуры вы ничего не почувствуете. Благодаря высокоточным технологиям и профессионализму врачей каждая процедура проходит быстро и предсказуемо.

Преимущества реставрации зубов в Практик

Для качественной реставрации зубов важно не только мастерство врача, но и современные технологии. В нашей клинике применяются новейшие решения:

  • Цифровое сканирование и CAD/CAM-моделирование. Вместо традиционных слепков мы часто используем внутриоральный сканер – он быстро делает 3D-модель зубов на компьютере. Это повышает точность: готовые вкладки, коронки и виниры идеально соответствуют зубу. Благодаря CAD/CAM станку мы можем изготовить коронку или вкладку всего за одно посещение (технология «коронка за час»).
  • Цифровой фото подбор цвета. С помощью специального спектрофотометра врач точно фиксирует цвет вашей эмали. Это гарантирует, что реставрация (пломба, коронка) будет идеально сливаться с остальными зубами.
  • Операционный микроскоп. При работе с мелкими деталями (например, тонкими трещинами, корнями зуба) врачи используют микроскоп. Это позволяет рассмотреть мельчайшие дефекты и провести лечение с беспрецедентной точностью.
  • Современные светоотверждаемые композиты. Материалы, которыми мы выполняем пломбировки, содержат инновационные смолы, уменьшающие усадку при отверждении. Некоторые композиты имитируют люминесценцию натуральной эмали, делая пломбу практически невидимой. Мы используем проверенные марки из Европы и США.
  • Передовые адгезивные системы. Для крепления реставраций используются новые системы склеивания (адгезии), которые обеспечивают сверхнадёжную фиксацию. Это защищает зуб от проникновения микробов под реставрацию и продлевает срок её службы.
  • Безболезненная анестезия. Наши специалисты применяют современные методы введения анестезии (например, компьютерную анестезию The Wand), которые делают укол практически незаметным. При необходимости возможна седация (легкий наркоз) для особо тревожных пациентов – всё, чтобы вы чувствовали себя комфортно.

Благодаря сочетанию этих технологий реставрация зубов в нашей клинике проходит быстро и без неприятных ощущений. Вы получаете не просто пломбу или коронку, а комплексный подход – вплоть до цифровой диагностики и гарантии точного результата.

этапы реставрации зубов

Цены на реставрацию зубов в Тюмени

Затраты на процедуру зависят от ее сложности и от того, в каком состоянии находятся зубы. Расчет цены выполняется, когда врач осматривает пациента и составляет персональный план лечения. Стоимость зависит от того, какие именно методики назначены, какие технологии и материалы требуются. На это непосредственно влияет количество дефектов, выявленных при осмотре.

Каждый пациент консультируется с врачом и проходит лабораторные исследования, прежде чем начнется сама процедура. Комплексный подход позволяет сохранить внешний вид, форму и функциональность зубного ряда.

Срок службы реставрации зубов

Срок службы реставраций во многом зависит от материалов и ухода. Средние ориентиры таковы:

  • Композитная реставрация: около 3–7 лет при хорошем уходе. Небольшие ремонтные работы (шлифовка, коррекция цвета) могут понадобиться через несколько лет.
  • Керамические виниры: 10–15 лет и более. При аккуратном обращении виниры могут служить значительно дольше, регулярно проверяясь стоматологом.
  • Керамические вкладки и накладки: 10–20 лет. Благодаря высокой прочности керамики такие реставрации часто служат дольше, чем композитные аналоги.
  • Зубные коронки: 10–15 лет и более (в зависимости от материала – циркониевая коронка служит дольше, чем металлокерамическая).

Конечно, эти цифры — ориентировочные. Важнейший фактор – ваше отношение к гигиене и режим посещения стоматолога. При правильном уходе и регулярных осмотрах срок службы реставраций увеличивается. В нашей клинике мы разъясняем пациентам, как грамотно ухаживать за зубами, чтобы новые пломбы, виниры и коронки служили долго и оставались красивыми.


Противопоказания к реставрации зубов

Несмотря на широкие возможности реставрации, существуют ситуации, при которых процедуру лучше отложить или скорректировать план лечения:

  • Невылеченный пульпит или периодонтит. Если в зубе есть воспаление нерва или корня, сначала необходимо провести эндодонтическое лечение (удаление нерва и пломбирование каналов). Только после успешного лечения воспаления врач приступает к реставрации.
  • Острые инфекции полости рта. При воспалении десен (гингивите) или наличии язв в ротовой полости стоматолог сначала лечит эти проблемы. Реставрация выполняется на здоровых тканях, иначе есть риск осложнений.
  • Аллергия на материалы. В редких случаях у пациента бывает аллергия на компоненты композита или металл. При известных аллергиях мы подбираем гипоаллергенные материалы: например, безметалловую керамику и специальные цементы.
  • Сильные нарушения прикуса. При значительных деформациях прикуса сначала рекомендуется пройти ортодонтическое лечение или коррекцию прикуса. Иначе жесткая нагрузка может преждевременно разрушить реставрацию.
реставрация зубов противопоказания

  • Бруксизм без защиты. Если вы сильно скрипите зубами ночью, необходимо сначала позаботиться о ношении каппы. В противном случае реставрации быстро износятся.
  • Беременность (первый триместр). Во время первых трёх месяцев лучше воздержаться от рентгена и сложных процедур. Простые композитные пломбы обычно можно ставить, но большинство врачей рекомендуют отложить плановое восстановление зубов до более спокойного периода беременности.
  • Малый возраст (детство). У детей реставрации применяют иначе. Молочные зубы не реставрируют винирами или коронками премиум-класса. Вместо этого используются композиты и фторсодержащие лаки до смены зубов.
  • Психологическая неготовность. Сильная стоматофобия или неврологические нарушения могут потребовать особого подхода (седация, работа с психологом). Однако даже таким пациентам мы стараемся сделать процедуру максимально комфортной при помощи современных обезболивающих.

Наши стоматологи в Тюмени внимательно изучают здоровье пациента и историю заболеваний. Даже при наличии ограничений мы подберём оптимальную стратегию: сначала устраним препятствия (например, пролечим кариес или гингивит), а затем проведём восстановление зубов. Так ваша улыбка обретёт здоровье и красоту в кратчайшие сроки.

Запишитесь на консультацию


Если вы хотите восстановить зубы качественно и надолго, не откладывайте визит к стоматологу. Реставрация зубов в Тюмени в нашей клинике проводится с использованием современных технологий и премиальных материалов, а опыт наших врачей гарантирует безупречный результат.

Запишитесь на приём уже сегодня и получите индивидуальную программу восстановления улыбки. Мы ответим на все ваши вопросы и подберём оптимальный метод реставрации именно для вас. Ваши здоровые и красивые зубы – наша главная цель!


Наши специалисты

Адрес/телефон:
г. Тюмень, улица 8 Марта, 1
+7 (3452) 699-992
Мы наблюдаем агрессивный конкурентный трафик в виде звонков и сообщений от конкурентов нашим клиентам. Подобные звонки и сообщения осуществляются через бизнес сервис сотовых операторов. Для отключения таких звонков и сообщений: проверьте свой контракт с сотовым оператором и отключите функцию «согласие на сообщения и звонки от базы партнеров сотового оператора»
ВВЕРХ