Пн-Пт: с 9:00 до 20:45
Сб: с 9:00 до 20:00
Вс: с 10:00 до 17:00
+7 (3452) 699-992 Обратный звонок
Меню
Имплантация «Всё на 4х»
Имплантация «Всё на 4х»
Имплантация на 4х имплантах позволяет полностью восстановить зубы одной челюсти за 1 день. Авторская методика атравматичной имплантации зубов в Практик: сохранение тканей, ускоренное заживление!

Имплантация «Всё на 4х»

Имплантация на 4х имплантах позволяет полностью восстановить зубы одной челюсти за 1 день. Этот метод подходит при полной адентии (отсутствии зубов). В качестве опоры для полного несъемного протеза используется всего 4 или 6 имплантов, в зависимости от потребностей и доступности костной ткани у каждого пациента. Одной из самых востребованных технологий дентальной имплантации является протезирование «Все-на-4».
Опытный имплантолог нашей клиники после комплексной диагностики определит положение имплантов во фронтальном отделе и в боковых отделах челюсти. Благодаря установке имплантов под нужным углом нагрузка равномерно распределяется по челюсти, что поддерживает здоровье тканей. Правильное положение боковых имплантов 45 градусов позволяет избежать дополнительной операции костной пластики. Несъемный протез устанавливается сразу же после имплантации – пациент может наслаждаться любимой едой, улыбаться без стеснения и избавиться от проблем с дикцией.

Имплантация на 4х имплантах

Имплантация на 4х имплантах позволяет быстро и эффективно восстановить зубной ряд, обеспечивая полноценное качество жизни.
Импланты служат основой для несъемного протеза, который надежно прилегает к десне. Эта технология представляет собой отличную альтернативу съемным протезам, которые часто выбирают пациенты с полной утратой зубов. Несомненно, стоимость протезирования на имплантах выше, но она оправдана повышенным уровнем комфорта пациента и возможностью вернуть естественную улыбку.

Высокопрофессиональными специалистами клиники «Практик» в Тюмени выполнение всех протоколов имплантации происходит на высоком уровне, и является качественным и надежным.


Преимущества имплантации все на 4х перед съемным протезом:

  • Надежная фиксация и высокий комфорт;
  • Можно есть любую твердую пищу благодаря распределению нагрузки на несколько имплантов;
  • Исключается попадание остатков пищи или микробов под протез
  • Небные сосочки остаются открытыми и позволяют в полной мере ощущать вкус пищи;
  • Уход за несъемными протезами проще и требует минимум усилий, не нужно извлекать протезы для очистки;
  • Вы выбираете тот оттенок зубов, о котором всегда мечтали.

ЭТАПЫ ИМПЛАНТАЦИИ «ВСЕ НА 4Х»
имплантация all on 4

Проводим консультацию и осмотр стоматолога-хирурга

Комплексный осмотр проводят стоматологи-хирурги нашей клиники с опытом работы более 20 лет. Врачи изучают Вашу клиническую картину, проводят обследование на компьютерном томографе. С помощью 3D-снимков и программы на основе искусственного интеллекта изучают вашу зубочелюстную систему. Рассчитывают траекторию установки имплантатов и грамотно планируют операцию. Назначают необходимые анализы.

Устанавливаем имплантаты

Делаем инъекцию эффективного анестетика — вы ничего не почувствуете во время процедуры. Точно фиксируем два титановых корня в области передних зубов, другие два — по бокам, под углом 45 градусов.

Устанавливаем протез

Сразу фиксируем на имплантаты временную конструкцию, а через 4–6 месяцев меняем ее на постоянную.



Узнайте цены на имплантацию все на 4х в Тюмени. Возможно провести имплантацию в рассрочку. Успейте записаться до повышения цен


Имплантация all on 4

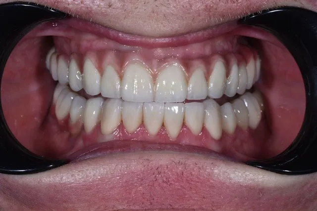
РЕЗУЛЬТАТ НАШЕЙ УСПЕШНОЙ Имплантация «Всё на 4х»


Чаще всего имплантацию зубов «Всё на 4» выбирают пациенты старшего возраста, у которых наблюдается значительная убыль костной ткани, а оставшиеся зубы несостоятельны. При этом процедура не требует сложной пластики (когда нужно наращивать кость). Это делает имплантацию более доступной по времени и стоимости. Установка имплантов и временного протеза занимает всего несколько дней, а после полного приживления ставится постоянная конструкция, которая служит долгие годы. Чаще всего сразу после имплантации временные зубы пациенту устанавливаются сразу.


Показания и противопоказания


Показания Противопоказания

Полное отсутствие зубов.

Печеночная или почечная недостаточность.

Разрушенные зубы, не подлежащие лечению.

Тяжелые формы диабета.

Сильная убыль костной ткани.

Заболевания сердца и сосудов в тяжелой форме.

Подвижные зубы из-за пародонтоза.

Психические отклонения.

Дискомфорт от съемного протеза.

Онкология.


Как проводится имплантация Все на 4


Имплантация проходит в несколько последовательных этапов. Сначала проводится подготовка: диагностика и планирование. Затем наступает хирургическая часть — установка самих имплантов. Завершается процесс ортопедическим восстановлением — фиксацией постоянного протеза.


Подготовительный этап


Перед процедурой проводится диагностика и сбор данных.



Хирургический этап


На этом этапе импланты внедряются в челюсть.



Ортопедический этап


Завершающий шаг — установка постоянного зубного ряда.



Метод «Все на 4» дает стабильный результат, даже если кость уже частично истончена. Люди, выбравшие эту технологию, быстро возвращаются к привычной жизни. Импланты не требуют сложного ухода, не натирают и не смещаются. А самое главное — возвращают уверенность, которой так часто не хватает после потери зубов.

Цена услуг

Имплантация зубов
Акция! Внутрикостная дентальная имплантация. Операция установки имплантата Anthogyr
от 35 000 ₽
Внутрикостная дентальная имплантация. Операция установки имплантата Dentium Superline, Корея
от 19 900 ₽
Внутрикостная дентальная имплантация Medentika, Германия
от 30 000 ₽
Акция! Внутрикостная дентальная имплантация. Операция установки имплантата Straumann, Швейцария
от 44 900 ₽
Синус-лифтинг открытый (без учета стоимости материалов)
от 19 800 ₽
Консультация
Прием (осмотр, консультация) врача стоматолога-терапевта первичный
1 100 ₽
Диагностика
Ортопантомография цифровая (ОПТГ); Панорамный 3Д-снимок всей челюсти
от 500 -  1500 ₽

С полным прайс-листом услуг Вы можете ознакомиться на странице "Цены".

Наши специалисты

Адрес/телефон:
г. Тюмень, улица 8 Марта, 1
+7 (3452) 699-992
Мы наблюдаем агрессивный конкурентный трафик в виде звонков и сообщений от конкурентов нашим клиентам. Подобные звонки и сообщения осуществляются через бизнес сервис сотовых операторов. Для отключения таких звонков и сообщений: проверьте свой контракт с сотовым оператором и отключите функцию «согласие на сообщения и звонки от базы партнеров сотового оператора»
ВВЕРХ