Элайнеры ClearCorrect от Straumann Group
Вы ищете способ выровнять зубы, но...
Боитесь, что это будет больно?
Благодаря трёхслойной структуре ClearQuartz™ элайнеры мягко и постепенно перемещают зубы. Начальная сила воздействия на зубы на 1/3 меньше по сравнению с аналогами. Внутренний эластомерный слой обеспечивает мягкое и постоянное давление, которое способствует эффективному и безопасному перемещению зубов.
Хотите, чтоб конструкцию никто не заметил?
ClearCorrect почти не виден на зубах и не мешает повседневной жизни. Материал элайнеров устойчив к пятнам, разрывам и деформации, сохраняя свою форму и прозрачность на протяжении всего лечения.
Нужен комфортный способ выровнять зубы, который не мешает говорить или улыбаться?
Каждый элайнер создаётся с использованием цифровых технологий, что обеспечивает идеальную посадку и точную коррекцию прикуса. Удобная трехслойная конструкция элайнеров не мешает вашему образу жизни.
Переживаете, что лечение будет долгим?
Элайнеры от Straumann group обеспечивают более быстрые результаты благодаря улучшенному дизайну и уникальным свойствам материала ClearQuartz. СlearCorrect сохраняет в десять раз больше своей первоначальной силы, чем конкуренты. Повышенная последовательность силы может привести к более эффективному и предсказуемому перемещению зубов. Зубы могут перемещаться быстрее, чем при использовании традиционных брекет-систем.
Думаете, что элайнеры не помогут в Вашем случае?
ClearCorrect предлагает решение для коррекции прикуса любой сложности, являясь достойной альтернативой традиционным брекет-системам. Клинические протоколы ClearCorrect совершенствовались почти 20 лет, составив обширную галерею кейсов врачей в 50 странах мира.

Запишитесь на консультацию и начните свой путь к новой улыбке уже сегодня!
Ключевые плюсы ClearCorrect

- Известный проверенный бренд, Швейцарский международный холдинг Straumann Group. 18-летний опыт.
- Трехслойный материал последнего поколения ClearQuartz™. Повышенная устойчивость, эффективность лечения, комфорт, сохранение формы. Как показала практика, этот материал в четыре раза более устойчив к разрыву, чем однослойные полимеры.
- Высокая предсказуемость результата. Уникальные клинические протоколы на основе научных исследований (совершенствуются с 2006 года, доказанная эффективность, гарантия). огромная галерея завершенных случаев со всего мира.
- Комфорт за счет едва ощутимой силы воздействия.
- Высокая эстетичность. Элайнеры почти не заметны на зубах.
- Быстрое лечение за счет усовершенствованного дизайна и долговечности материала.
Показания для лечения на элайнерах ClearCorrect
Исправление скученности зубов

Исправление открытого прикуса

Исправление перекрестного прикуса

Исправление неправильного прикуса (глубокого, открытого, прямого)

Коррекция глубокого прикуса с сагиттальной щелью

Исправление зубов с большим промежутком, диастемами

Смещение срединной линии

Рассрочка
Мы предлагаем удобные условия рассрочки для наших пациентов:
- Срок рассрочки до 24 месяцев
- Первоначальный взнос - 25%
- Выгоднее, чем в банке
Готовы начать путь к новой улыбке?
Запишитесь на консультацию и начните своё лечение с ClearCorrect уже сегодня!
Присоединяйтесь к миллионам людей по всему миру, которые уже выбрали элайнеры Clear Correct для создания своей новой, красивой улыбки.
Элайнеры ClearCorrect — это революционное решение для тех, кто стремится к идеальной улыбке без дискомфорта и неудобств. ClearCorrect — это бренд, проверенный временем и доказавший свою эффективность в клинических условиях. На сегодняшний день металлические брекеты - не единственный эффективный и проверенный метод ортодонтического лечения.Сегодня мы рады предложить вам возможность воспользоваться передовыми технологиями для коррекции прикуса, которые обеспечат комфортное и предсказуемое лечение.
Трехслойный материал ClearQuartz™
A - Низкопористый материал, обеспечивающий долговечность и устойчивость к пятнам.
B - Эластомерный слой, обеспечивает мягкое, постоянное и непрерывное усилие.
Компания Straumann — международная компания с мировым именем, 70 лет на рынке. Занимается разработкой, производством и продажей стоматологических имплантов и связанных технологий. Straumann предлагает свои продукты и услуги более чем в 100 странах через сеть дистрибьюторов и партнеров. Компания активно сотрудничает с ведущими клиниками и университетами для разработки новых технологий и улучшения существующих решений.
Забудьте о неудобствах, связанных с традиционными брекетами. С элайнерами ClearCorrect ваше лечение будет проходить комфортно и безболезненно, а результаты будут радовать вас долгие годы! Узнайте больше об ортодонтическом лечении - в нашем блоге. Записывайтесь на консультацию к квалифицированным врачам-ортодонтам нашей клиники, чтобы ваша улыбка стала здоровой и гармоничной!
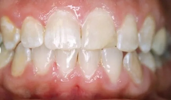
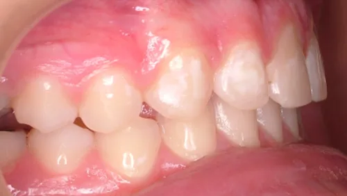
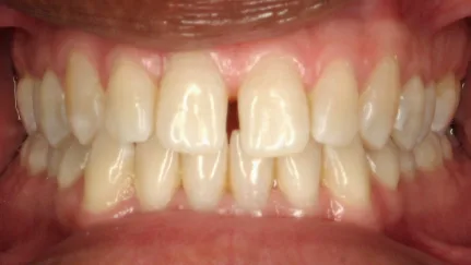
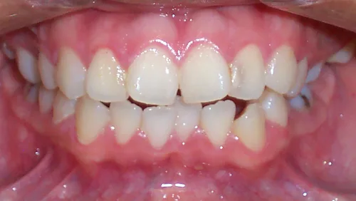
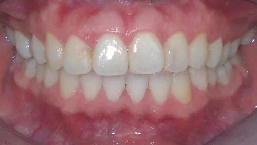
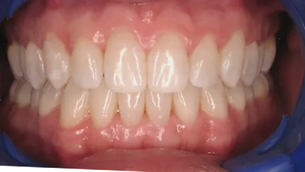
До и после
до
после
до
после
до
после
до
после
до
после
Цена услуг
С полным прайс-листом услуг Вы можете ознакомиться на странице "Цены".