Пн-Пт: с 9:00 до 20:45
Сб: с 9:00 до 20:00
Вс: с 10:00 до 17:00
+7 (3452) 699-992 Обратный звонок
Меню
Керамические виниры
Керамические виниры

Мечтаете о красивой улыбке?
В стоматологической клинике ПRАКТИК изготовят для вас виниры, которые скроют
все несовершенства передних зубов. Всё для вашего безупречного внешнего вида.

Керамические виниры

Керамические виниры для зубов - легкая и тонкая, но одновременно прочная белоснежная пластинка.
Которая является оптимальным вариантом микропротезирования для людей с дефектами зоны улыбки, а также для тех, кто по каким - либо причинам не может получить белоснежную улыбку.

Керамические виниры в протезировании

Ультратонкие пластинки, которые крепятся с фронтальной стороны резцов, изготовленные из прессованной керамики E-max, имеют длительный срок службы и используются долгое время для решения таких проблем, как:

  • Старые пломбы с течением времени поменяли цвет своей поверхности и визуально отличаются от эмали зуба;
  • Депульпированный зуб потемнел или приобрел цвет пломбировочного материала (розовые зубы);
  • Присутствие диастем и трем;
  • Повышенное истирание эмали, которое привело к чувствительности зубов;
  • Сколы;
  • Флюороз, гипоплазия и др.
Керамические виниры

Преимущества керамических виниров

Керамические виниры

Кроме того, что после закрепления пластинок пациент сразу получает голливудскую улыбку, виниры имеют и множество других положительных качеств:

  • Срок службы более 9 лет;
  • Отсутствие аллергической реакции;
  • Прочная конструкция на которой не образовываются сколы;
  • Полностью незаметны на фоне эмали других зубов;
  • Минимальное препарирование;
  • Быстрая адаптация и минимум дискомфорта;
  • Керамика не восприимчива к воздействию табачного дыма, кофе и вина.

При установке пластин не важен природный цвет ваших зубов. Цвет винира ни чем не будет отличаться от остальных зубов благодаря широкой цветовой гамме.


Противопоказания к установке

Керамические виниры не устанавливаются:

  • Значительное отклонение прикуса;
  • Бруксизм;
  • Скол или сильное разрушение коронковой части более, чем на 50%;
  • Заболевания десен;
  • Несформировавшийся прикус и не полностью прорезавшиеся зубы;
  • Отсутствие большого количества жевательных зубов.

Установка пластин считается не эффективной и не долгосрочной если пациент имеет привычку грызть ногти, является любителем семечек и орехов.

Ваши зубы приобретают естественный оттенок и безупречную форму. Улыбка мгновенно преображается! Узнать, как попасть на прием, вы можете через форму обратной связи.

Керамические виниры


Установка керамических виниров

Микропротезирование проводится по протоколу и включает в себя несколько этапов:

  • Первичный осмотр полости рта, санация, удаление зубного камня;
  • Контурирование зубов - препарирование фронтальной части зубов (на время изготовления постоянного протеза устанавливаются пластмассовые пластины) и снятие слепков;
  • Изготовление индивидуальных пластин;
  • Снятие временных виниров и фиксация постоянных;
  • Контрольный прием стоматолог проводит через месяц.

Стоматология Практик предоставляет длительную гарантию на выполненные работы и предлагает качественную услугу протезирования. Цена виниров для зубов более чем приемлема и поэтому доступна всем. Клиника предоставляет выгодную рассрочку платежа.

Керамические виниры

Гипоаллергенностью

Для пациентов с аллергией керамические реставрации будут оптимальным решением, потому что изготавливаются из безвредного материала, схожего с эмалью зуба.

Керамические виниры

Служат долгие годы

Даже через 15 лет виниры сохраняют первоначальную форму и естественный цвет, поскольку
не впитывают красители.

Керамические виниры

Комфортно ощущаются

Виниры подходят всем, так как состоят из гипоаллергенной керамики.

Керамические виниры

Мгновенно преображают

Ваша обновленная улыбка будет притягивать восхищенные взгляды, ведь она станет идеальной.


Керамические виниры

На этапе подготовки врач максимально бережно и безопасно снимает небольшой слой эмали специально созданными для этого инструментами. Это важно, чтобы восстановленный зуб имел натуральную толщину, а винир стал с ним единым целым. Керамические накладки фиксируются на зубе максимально герметично, обеспечивая долговечный срок службы.


Ваш путь к красивой улыбке

После доброжелательной и чуткой беседы для выявления всех потребностей наших пациентов по преображению улыбки, и осмотра полости рта, прежде чем изготовить и установить виниры, необходимо выполнить ряд процедур для согласования формы, размера и цвета реставраций, чтобы они радовали и украшали Вас долгие годы и выглядели максимально естественно:

Фотопротокол

При помощи профессионального фотоаппарата, макрообъектива и хорошего света делаются портретные фото и фото зубов с разных ракурсов (см ниже)

Керамические виниры

Цифровые и аналоговые оттиски

Для изготовления моделей на которых зубной техник производит моделировку виниров

Керамические виниры

Виртуальная презентация виниров

При помощи программы 3 Shape врач показывает форму и размер будущих виниров. Пациент может увидеть себя со стороны, сравнив две фотографии: до и после

Керамические виниры

Клинико-лабораторные этапы изготовления виниров

После согласования всех пожеланий пациента команда приступает к преображению улыбки

Керамические виниры

Эксклюзивное изготовление виниров

Виниры создаются с помощью компьютерной технологии CAD/CAM. Сначала врач снимает слепки зубов, а затем моделирует будущую улыбку по вашим индивидуальным параметрам. Керамические накладки изготавливаются с цифровой точностью, поэтому они идеально вам подходят и выглядят естественно.

Керамические виниры

виниры

Стоимость виниров в Тюмени

Когда речь идет о вашей улыбке, качество — это то, что действительно имеет значение. Виниры — это не просто косметический элемент, это ортопедическая конструкция, влияющая на внешность и общее здоровье.

Можно ли установить виниры по низкой цене?

Можно, если выбрать метод прямой реставрации. Это процедура восстановления формы и оттенка зубов с применением композитного пломбировочного материала, из которого изготавливаются пломбы при лечении кариеса. Стоимость композитных виниров довольно низкая, но их срок службы ограничен - от трех до пяти лет. Такие накладки требуют коррекции каждые полгода и больше подходят в качестве временного решения.


ПОЧЕМУ НАСТОЯЩИЕ ВИНИРЫ И КОРОНКИ НЕ СТОЯТ ДЕШЕВО?

Качественное и долговечное восстановление формы и цвета зубов осуществляется исключительно с применением керамики. Цены на такие конструкции значительно выше, и на это имеются некоторые причины.

Для изготовления керамических виниров применяется дорогостоящая керамика E-max. Этот материал выглядит наиболее натурально, имеет естественный блеск и переход оттенков, обладает прочностью, не впитывает красящие компоненты пищи, не покрывается царапинами, чего не скажешь о композите и более дешевых аналогах керамики.

Создание качественных виниров требует опыта и высокого мастерства стоматолога-ортопеда и зубного техника. Доверять свою улыбку стоит только профессионалам. Это самые надежные способы получения гарантии, что Ваша улыбка будет идеальной. Низкая стоимость услуги обычно означает отсутствие опытных специалистов и, следовательно, некачественное исполнение.

Протезирование зубов от цифрового планирования до и установки предполагает использование дорогостоящего оборудования и инструментов. Использование передовых технологий, таких как цифровое сканирование, 3D-моделирование, компьютерная технология CAD/CAM обеспечивают ювелирную точность, внимание к деталям и эффективность процесса.

В клиниках с дешевыми альтернативами часто не применяются технологические инновации. Специалисты используют стандартные подходы, игнорируя уникальные особенности каждого пациента, что отражается на качестве результатов.

Экономия на протезировании может привести к осложнениям и даже потере зубов. Инвестиция в качественные виниры — это инвестиция в здоровье зубов на долгие годы! Сделайте первый шаг к Вашей совершенной улыбке уже сегодня - запишитесь на консультацию сейчас и получите скидку 50% на первичное обследование. Доверьте вашу улыбку профессионалам!

Отзывы

Екатерина Н. 24.06.2022
После оценки исходного состояния зубов Андрей Николаевич предоставил полный расчёт стоимости нескольких вариантов лечения: только зона улыбки/все зубы. Мы с доктором сделали все 28 зубов (керамические виниры "Е-Макс" на передние зубы и коронки на жевательные), оплата по этапам проведённого лечения, цена в итоге не превысила смету, дополнительных расходов не случилось. Есть возможность выбрать цвет с помощью специальной шкалы. В итоге зубы выглядят очень естественно, потому что добавлена прозрачность, оттенок меняется от основания зуба к нижнему краю, как у натуральных зубов. Понравилась сама клиника «Практик» от доброжелательности персонала до современной оснащенности кабинетов.
Мария
Несколько лет шла к решению установки виниров. Терзали сомнения: устанавливать/не устанавливать/может так ещё похожу? Но в один момент надоел неудовлетворительный эстетически вид зубов, цвет, множественные пломбы на передних зубах, начала искать специалиста. После консультации с Иващенко Андреем Николаевичем убедилась, что процесс и результат будет контролируемым, и мы начали работу! Все непросто, перед изготовлением доктор провёл полную диагностику: оценил исходное состояние зубочелюстной системы, прикус, сделали панорамные снимки, снял слепки, показатели на аппарате, который фиксирует положение челюсти, провёл сканирование - в электронном виде получил модель челюсти. Сначала были установлены временные накладки, с ними я проходила пару недель, была возможность оценить новую форму, привыкнуть, подкорректировать при необходимости параметры. После изготовления техником самих виниров установили постоянные. Все этапы лечения обезболены, результат потрясающий! Андрей Николаевич, спасибо за работу! Рекомендую!

Цена услуг

Керамические виниры
Восстановление зуба авторским керамическим виниром
от  42 000 ₽
Консультация
Прием (осмотр, консультация) врача стоматолога-терапевта первичный
1 100 ₽
Диагностика
Ортопантомография цифровая (ОПТГ); Панорамный 3Д-снимок всей челюсти
от 500 -  1500 ₽
ТРГ, 1 проекция
от 1 430 ₽

С полным прайс-листом услуг Вы можете ознакомиться на странице "Цены".

Наши специалисты

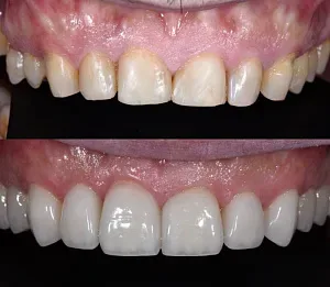
До и после

Результаты лечения
Результаты лечения
Результаты лечения
Результаты лечения
Адрес/телефон:
г. Тюмень, улица 8 Марта, 1
+7 (3452) 699-992
Мы наблюдаем агрессивный конкурентный трафик в виде звонков и сообщений от конкурентов нашим клиентам. Подобные звонки и сообщения осуществляются через бизнес сервис сотовых операторов. Для отключения таких звонков и сообщений: проверьте свой контракт с сотовым оператором и отключите функцию «согласие на сообщения и звонки от базы партнеров сотового оператора»
ВВЕРХ