Пн-Пт: с 9:00 до 20:45
Сб: с 9:00 до 20:00
Вс: с 10:00 до 17:00
+7 (3452) 699-992 Обратный звонок
Меню
Лечение кариеса
Лечение кариеса
Качественное лечение зубов под микроскопом. Опытные стоматологи-терапевты. ОПТГ-снимок - в подарок!

Лечение кариеса

Кариес - самая распространенная причина обращения в стоматологию. Это заболевание встречается практически у всех. И от своевременного лечения зависит не только "судьба" зараженного зуба, но и соседних единиц. Ведь в случае отсутствия лечения патология переходит на соседние единицы и мягкие ткани.
Тогда избежать периодонтита, пульпита, практически невозможно. А в случаях обширного поражения инфицирование может перейти на надкостницу.

Причины возникновения кариеса

Основной причиной является некачественная гигиена полости рта или ее отсутствие.

Кариес - бактериальное заболевание вызванное стрептококком. Он любит среду, которую образуют быстрые углеводы. При отсутствии гигиены рот становится рассадником бактерий, которые выделяют кислоту разъедающую эмаль.

К вторичным причинам относятся:

  • Генетическая предрасположенность к заболеванию
  • Недостаток минералов и витаминов в организме
  • Маленькая буферная емкость слюны (мало нейтрализующей щелочи)
  • Зубной камень, который является рассадником бактерий
  • Вредные привычки

Этапы развития кариеса

Различают несколько видов кариеса и классифицируются они по степени распространения:

  • Начальный кариес
    На эмали образуется очаг деминерализации, кариозная полость отсутствует. Самостоятельно обнаружить заболевание невозможно.
    Преимуществом считается обратимость процесса. При хорошей гигиене полости рта и подбора правильной зубной пасты, а также реминерализующей терапии профессиональными средствами, полностью восстанавливают эмаль зуба.
  • Средний кариес
    Разрушается эмалево-дентинное соединение. Появляется видимый дефект - кариозная полость с кратковременной чувствительностью. Неярко выраженная болезненность возникает при употреблении горячих и холодных напитков.
  • Глубокий кариес
    Обширное поражение затрагивающее околопульпарный дентин. Острая боль возникает от температурных и химических раздражителей (сладкого), при приеме пищи. Кариозная полость достигает до 50% коронки зуба. Эффективность лечения зависит от иммунной системы человека и от профессионализма врача
  • Пульпит
    Кариес проник в глубокие слои и затрагивает нерв. Возникает острая боль, которая еще более усиливается в ночное время. На этом этапе заболевания требуется депульпирование зуба и часто - установка коронки.

Этапы лечения кариеса зубов
Лечение кариеса
  • Осмотр полости рта и диагностические процедуры для точного определения глубины разрушения и поражения. Панорамный снимок уже входит в стоимость и проводится на самом безопасном рентген-оборудовании с минимальной дозой облучения, поэтому его можно без ограничений использовать детям и беременным женщинам
  • Местная анестезия (проводится в 2 этапа - сначала наносим обезболивающий гель, а затем делаем инъекцию)
  • Изоляция зуба от слюны с помощью коффердама
  • Высверливание разрушенных тканей - некрэктомия
  • Обработка полости специальными кислотами
  • Пломбирование и художественная реставрация зубов с использованием современных методик и проверенных композитных материалов

В том случае, когда у пациента поражен нерв, проводят полную очистку корневого канала (зуб депульпируют). Затем каналы пломбируются герметиком, а дырка закрывается временной пломбой. Через некоторое время, когда становится ясно, что процесс остановлен, устанавливают постоянную пломбу. Узнайте стоимость лечения кариеса на сайте.



Лечение под многократным увеличением

Стоматология Практик рекомендует профилактическое посещение стоматолога два раз в год. Таким образом вы избежите серьезных заболеваний полости рта.

Но если у вас уже возникли проблемы, то лечение кариеса зубов в стоматологии Практик, не вызовет у вас неприятных ощущений. Опытные стоматологи используют только качественные пломбировочные материалы и современные средства для анестезии. Вы не почувствуете боли, так как врач перед инъекцией замораживает десну. А сам зуб во время лечения изолируется латексной завесой. На него не попадает влага — так мы достигаем стабильных результатов лечения.

Для лечения сложных случаев наши специалисты используют оптическое оборудование. Благодаря микроскопу врач обнаруживает даже скрытый кариес, поскольку видимость рабочей области увеличивается до 40 раз.

лечение кариеса

Высокая точность

Под многократным увеличением доктор удаляет только пораженные ткани, максимально сохраняя здоровые.

лечение кариеса

Отличный обзор

Под микроскопом врач четко видит даже труднодоступные участки и кариес на начальной стадии.

лечение кариеса

Качественные реставрации

Специалист идеально подбирает цвет композитного материала и полирует эмаль до естественной гладкости.


Лечение кариеса

Лечение сложных корневых каналов, устранение мельчайших кариозных поражений, установка «незаметных» реставраций — все это возможно благодаря мастерству и навыкам наших специалистов. Чтобы работать с микроскопом, наши врачи прошли обучение по специальности «эндодонтия».


Ждем вас в нашей клинике

Тщательная диагностика — залог успешного лечения кариеса. На цифровом оборудовании мы оцениваем состояние ваших зубов и контролируем качество всех манипуляций.

В стоматологической клинике ПRАКТИК здоровье зубного ряда под надежной защитой. Приходите к нашим специалистам в любой день недели!

Лечение кариеса

Признаки кариеса

Понимание симптомов кариеса имеет решающее значение для раннего выявления и лечения. Это может предотвратить более серьезные заболевания зубов и сохранить здоровье полости рта. Вот основные признаки кариеса, о которых следует знать:

  • Чувствительность зубов: заметное повышение чувствительности к горячей, холодной, сладкой или кислой пище и напиткам. Это может свидетельствовать о том, что эмаль разрушилась, обнажив дентин.
  • Появились видимые отверстия или ямки в зубах.
  • Постоянная или кратковременная зубная боль вследствие поражения нерва зуба.
  • Темные пятна или меловые участки на поверхности ваших зубов могут быть ранними признаками кариеса. Эти пятна могут темнеть по мере прогрессирования заболевания.
  • Неприятный запах изо рта или неприятный привкус во рту, даже после чистки зубов, может быть вызван бактериями, участвующими в разрушении зубов.
  • Боль или дискомфорт при жевании может указывать на кариес, особенно если он достиг более глубоких слоев зуба.

Если вы заметили какие-либо из этих симптомов, важно записаться на прием к стоматологу для тщательного обследования и соответствующего лечения. Регулярные стоматологические осмотры, соблюдение хорошей гигиены полости рта и здоровое питание могут помочь предотвратить развитие кариеса и сохранить вашу улыбку здоровой.

В домашних условиях вылечить кариес невозможно, можно только совершать процедуры, которые войдут в профилактический комплекс, например обогащать рацион кальций содержащими продуктами, употреблять свежие овощи и фрукты, следить за гигиеной полости рта


Цена услуг

Лечение зубов
Лечение кариеса
от 7 000 ₽
Лечение пульпита
от 7 700 ₽
Лечение периодонтита
от 9 350 ₽

С полным прайс-листом услуг Вы можете ознакомиться на странице "Цены".

Наши специалисты

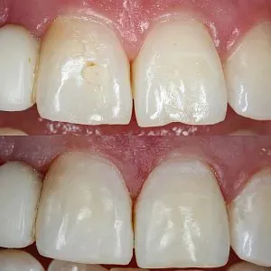
До и после

Результаты лечения
Результаты лечения
Результаты лечения
Результаты лечения
Адрес/телефон:
г. Тюмень, улица 8 Марта, 1
+7 (3452) 699-992
Мы наблюдаем агрессивный конкурентный трафик в виде звонков и сообщений от конкурентов нашим клиентам. Подобные звонки и сообщения осуществляются через бизнес сервис сотовых операторов. Для отключения таких звонков и сообщений: проверьте свой контракт с сотовым оператором и отключите функцию «согласие на сообщения и звонки от базы партнеров сотового оператора»
ВВЕРХ