Пн-Пт: с 9:00 до 20:45
Сб: с 9:00 до 20:00
Вс: с 10:00 до 17:00
+7 (3452) 699-992 Обратный звонок
Меню
Лечение пульпита и периодонтита
Лечение пульпита и периодонтита
Точное и быстрое лечение пульпита и периодонтита. Мы сохраним ваши зубы даже в сложных случаях. Для точного лечения используем микроскоп

Лечение пульпита и периодонтита

Пульпит и периодонтит — это осложнения кариеса, которые требуют незамедлительного внимания врача. Вы можете перетерпеть боль, но со временем рискуете потерять зуб. Сначала воспаляется пульпа — нерв зуба, а после — ткани вокруг верхушки корня.
При лечении пульпита и периодонтита важно тщательно обработать каналы зуба. В этом нам помогает микроскоп. Аппарат подсвечивает рабочую область и многократно ее увеличивает. Врач в деталях видит даже самые тонкие корневые каналы и спасет зуб от удаления.

Что такое пульпит

Пульпит - воспаление сосудисто-нервного пучка. Из - за глубокого поражения кариесом инфекция распространяется на внутренние слои, которые отвечают за питание зуба. Они снабжены большим количеством нервных окончаний и мелких сосудов и из - за этого, в следствии поражения, возникает острая боль.
Данное заболевание делится на острую форму, когда невыносимая боль длится 2 - 3 дня и хроническую. В этот период болевой синдром ощущается только под каким - либо воздействием, но появляется гнилостный запах изо рта и кровоточивость. Отсутствие терапии грозит флюсами, гнойниками и абсцессами.

Что такое периодонтит

Периодонтит - поражение, которое вызвано глубоким кариесом и пульпитом. Можно сказать, что это завершающая стадия. Внутренние слои уже полностью инфицированы и процесс распространяется уже на кость. Возникает асимметрия лица и назревает флюс - полость наполненная гнойным субстратом. В некоторых случаях появляется свищ и содержимое выходит на поверхность, но чаще всего гнойное воспаление остается внутри. Тогда воспаление уже является угрозой для жизни.
Различают острый хронический периодонтит. Хроническая форма бывает нескольких видов:

  • Апикальный - поражение верхушек корней зубов
  • Маргинальный - затронуты ткани пародонта
  • Травматический - скол или вывих единицы, когда происходит инфицирование обнаженного участка тканей периодонта
  • Медикаментозный - провоцирование заболевания агрессивными лекарствами

Виды лечения пульпита и периодонтита

Лечение пульпита и лечение периодонтита возможно несколькими способами. Все зависит от состояния зуба.
При обращении в стоматологию доктор прежде всего осматривает полость рта и собирает анамнез, назначаются диагностические процедуры для оценки состояния единицы и глубины поражения.
Выбирается вид лечения:

  • Терапевтическое - удаление пораженных участков и воспаления, герметизация зубных каналов и реставрация коронки
  • Хирургическое - единица подлежит экстирпации, так как другой метод лечения не эффективен
  • Физиотерапевтическое - лазерная терапия, электрофорез и др.

Все манипуляции независимо от способа лечения проводятся по протоколу.

Консервативное лечение

Применяется при острых, очаговых и фиброзных инфекциях. Проводится в несколько этапов:

  • Местное обезболивание современными препаратами
  • Удаление пораженных участков при помощи бормашины (некрэктомия)
  • Обработка антисептиками и наложение изолятора
  • Установка временной пломбы

Таким лечением стоматолог добивается устранения воспаления и дает начало регенерирующим процессам. Если воспаление спустя время не начинается, и все процессы в этой области восстанавливаются, то устанавливается постоянный пломбировочный материал.

Хирургическое лечение

Оба вида лечения проводятся с применением местной или проводниковой анестезии.

Если требуется удаление нерва, то после иссечения кариозной полости извлекается поврежденная ткань пульпы и вся опустошенная полость подлежит дезинфекции. Каналы пломбируются после сушки резиноподобными пломбами, которые не допускают дальнейшего инфицирования (защита от микробов), а после проводят реставрацию зубной коронки.

Современное оборудование помогает врачам реализовать свое мастерство. Корневые каналы могут быть настолько тонкими, что их просто не видно невооруженным глазом. Пропустить канал — значит рисковать здоровьем зуба. Микроскоп полностью исключает подобные неточности: врач видит зуб с увеличением до 40 раз и не упускает ни одной детали. Ваше здоровье под надежной защитой.

Пульпит и периодонтит - болезни, которые характеризуются яркой симптоматикой. Их невозможно перепутать с другими заболеваниями. При обнаружении у себя хотя бы одного из симптомов обязательно обращайтесь к стоматологу. Запущение болезни грозит заражением кости челюсти, а это сложные операции и огромное количество побочных последствий.

Лечение под микроскопом

Благодаря многократному увеличению врач контролирует каждый свой шаг: бережно очищает каналы от пораженных тканей
и герметично заполняет их пломбировочным материалом.

Микроскоп помогает:

  • обнаружить скрытые каналы и мельчайшие трещины
  • бережно извлечь инородные предметы из каналов
  • тщательно запломбировать зуб, исключив повторное воспаление

Микроскоп позволяет провести качественное лечение в случаях, когда обычно показано удаление зуба.

Врачи клиники «ПRАКТИК» стремятся спасти зуб
в самых сложных случаях, поэтому проводят лечение под микроскопом.

лечение пульпита

лечение пульпита

Приходите на прием в клинику ПRАКТИК. Наши врачи быстро снимут боль и незамедлительно приступят к лечению пульпита или периодонтита. Благодаря микроскопу врач находится на комфортном расстоянии от вас, а процедура проходит гораздо быстрее. Мы сохраним зуб, вернем вам комфорт и позаботимся о красоте улыбки.


Технологии для вашего здоровья

Современное оборудование помогает врачам реализовать свое мастерство. Корневые каналы могут быть настолько тонкими, что их просто не видно невооруженным глазом. Пропустить канал — значит рисковать здоровьем зуба. Микроскоп полностью исключает подобные неточности: врач видит зуб с увеличением до 40 раз и не упускает ни одной детали. Ваше здоровье под надежной защитой.

лечение пульпита

Основные источники развития пульпита

Пульпит образуется из-за следующих проблем:

  • Глубокий кариес — главный провокатор. Разрушение эмали приводит к проникновению патогенных микроорганизмов в пульпарную камеру.
  • Механические повреждения зуба. Нарушение целостности коронки обнажает пульпу, делая ее уязвимой для внешних воздействий.
  • Ошибки при стоматологических манипуляциях. Перегрев тканей во время сверления, неполное удаление пораженных участков перед пломбированием, использование агрессивных материалов. Это вызывает химическое или термическое раздражение пульпы.
  • Заболевания десен. Запущенный пародонтит разрушает связки, удерживающие зуб в лунке. Формируются глубокие карманы, через которые инфекция достигает корневой системы.

Диагностические методы выявления патологии

Перед лечением пульпита нужно провести диагностику, которая включает:

  • Сбор анамнеза: врач уточняет характер боли (острая, ноющая, реакция на холодное/горячее), длительность симптомов, наличие хронических заболеваний.
  • Инструментальный осмотр: выявление кариозных полостей, сколов, изменений цвета эмали, кровоточивости десен.
  • Рентгенография или КТ: оценка состояния корневых каналов, выявление скрытых воспалений, кист, гранулем.

Последствия отсутствия терапии

Игнорирование пульпита приводит к распространению инфекции за пределы зуба. Возникают следующие проблемы:

  • Свищи и кисты — появление каналов для выхода гноя и полостей с жидкостью в костной ткани.
  • Периодонтит — воспаление тканей, окружающих корень зуба.
  • Периапикальный абсцесс — гнойное образование у корня.
  • Периостит — распространение инфекции в надкостницу.
  • Некроз пульпы — разложение ткани с выделением токсинов.
  • Потеря зуба — результат полного разрушения корней или кости.

Раннее обращение к стоматологу при первых симптомах (острая пульсирующая боль (особенно ночью), реакция на горячее, сладкое, боль при надкусывании) поможет сохранить зуб, предотвратив серьезные осложнения.

Цена услуг

Консультация
Прием (осмотр, консультация) врача стоматолога-терапевта первичный
1 100 ₽
Диагностика
Ортопантомография цифровая (ОПТГ); Панорамный 3Д-снимок всей челюсти
от 500 -  1500 ₽
ТРГ, 1 проекция
от 1 430 ₽
Лечение пульпита и периодонтита
Лечение пульпита
от 7 700 ₽
Лечение периодонтита
от 9 350 ₽

С полным прайс-листом услуг Вы можете ознакомиться на странице "Цены".

Наши специалисты

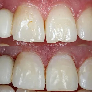
До и после

Результаты лечения
Результаты лечения
Результаты лечения
Результаты лечения
Адрес/телефон:
г. Тюмень, улица 8 Марта, 1
+7 (3452) 699-992
Мы наблюдаем агрессивный конкурентный трафик в виде звонков и сообщений от конкурентов нашим клиентам. Подобные звонки и сообщения осуществляются через бизнес сервис сотовых операторов. Для отключения таких звонков и сообщений: проверьте свой контракт с сотовым оператором и отключите функцию «согласие на сообщения и звонки от базы партнеров сотового оператора»
ВВЕРХ