Пн-Пт: с 9:00 до 20:45
Сб: с 9:00 до 20:00
Вс: с 10:00 до 17:00
+7 (3452) 699-992 Обратный звонок
Меню

Зотов Владислав Дмитриевич

Специализация: Ведущий стоматолог-терапевт, эндодонтист
Стаж работы: 5 лет

"Для меня главное - эстетическая и функциональная реабилитация всей зубочелюстной системы в целом. Для точности в лечении использую операционный микроскоп".

Владислав Дмитриевич — врач нового поколения, который сочетает художественный взгляд на реставрацию с научным подходом и точной цифровой диагностикой. Он уверен: качество стоматологии сегодня определяется не только материалами, но и глубиной понимания функции, эстетики и биомеханики зубного ряда. Именно поэтому в своей практике он использует операционный микроскоп, индивидуальные фотопротоколы и протоколы пошагового восстановления анатомической формы каждого зуба.

➕ Спикер Конгресса молодых стоматологов (г. Тюмень, 2024 г.)

➕ Автор индивидуальных обучающих курсов по современным протоколам терапевтического и ортопедического лечения

➕ Регулярно совершенствует квалификацию, включая практическое обучение у ведущих российских и зарубежных экспертов

➕ Уверенно работает с клинически сложными случаями: от повторного эндодонтического лечения до тотального протезирования.

Услуги, за которыми вы можете обратиться к Владиславу Дмитриевичу:

  • Консультация стоматолога-терапевта
  • Консультация стоматолога-ортопеда
  • Эстетическое протезирование: коронки и виниры
  • Протезирование зубов (в том числе на имплантах)
  • Прямые реставрации фронтальной и боковой групп зубов
  • Лечение кариеса, пульпита, периодонтита
  • Повторное эндодонтическое лечение
  • Цифровые пломбы и вкладки
  • Лечение зубов под микроскопом
  • Лечение зубов под наркозом.

В консультацию врача входит:

  • Персональная консультация Владислава Дмитриевича Зотова
  • Визуальная и цифровая оценка состояния полости рта (с фотопротоколом)
  • Подбор индивидуальной методики лечения с акцентом на эстетику и функцию
  • Составление поэтапного плана восстановления с точным сроком и стоимостью каждого этапа.

Краткая справка об образовании:

Окончил Тюменский государственный медицинский университет по специальности "Стоматология".

Действующие сертификаты:

2022.4129578 Врач-стоматолог общей практики до 31.03.2027

Образование

Зотов Владислав Дмитриевич

Статьи специалиста:

Сертификаты и дипломы врача

Сертификаты и дипломы Зотов Владислав Дмитриевич
Сертификаты и дипломы Зотов Владислав Дмитриевич
Сертификаты и дипломы Зотов Владислав Дмитриевич
Сертификаты и дипломы Зотов Владислав Дмитриевич
Сертификаты и дипломы Зотов Владислав Дмитриевич
Сертификаты и дипломы Зотов Владислав Дмитриевич
Сертификаты и дипломы Зотов Владислав Дмитриевич
Сертификаты и дипломы Зотов Владислав Дмитриевич
Сертификаты и дипломы Зотов Владислав Дмитриевич
Сертификаты и дипломы Зотов Владислав Дмитриевич
Сертификаты и дипломы Зотов Владислав Дмитриевич
Сертификаты и дипломы Зотов Владислав Дмитриевич
Сертификаты и дипломы Зотов Владислав Дмитриевич
Сертификаты и дипломы Зотов Владислав Дмитриевич
Сертификаты и дипломы Зотов Владислав Дмитриевич
Сертификаты и дипломы Зотов Владислав Дмитриевич

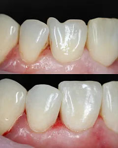
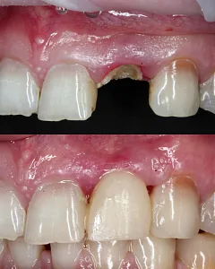
До и после

Работы специалиста
Работы специалиста
Работы специалиста
Работы специалиста
Работы специалиста
Работы специалиста
Работы специалиста
Работы специалиста
Работы специалиста
Работы специалиста
Работы специалиста

Отзывы о враче Зотов Владислав Дмитриевич


Посещала клинику недавно, лечилась у Владислава Зотова. Благодарю за профессионализм и внимательное отношение. Особенно понравилась организация записи: пациентов достаточно много, но очередей совершенно нет, каждому уделяется достаточно времени, доктор работает спокойно и без спешки, подробно консультирует. Дополнительные услуги не навязывали, оплата была такая же как на сайте. Теперь записываюсь только сюда!)

Это не просто отзыв , это не просто благодарность , а искреннее восхищение работой Владислава Дмитриевича Зотова. Ранее проходила лечение у него в другой клинике , и когда узнала , что доктор принимает в Практик , я ни секунды не раздумывая ,записалась к нему на прием . И даже если бы Владислав Дмитриевич переехал в Португалию, или дальше , я бы купила билет и попала к нему на прием . Теперь по делу . Ходила долгое время с металлокерамикой , кто знает - тот поймет,что со временем эстетики от этих коронок не остается . Начитавшись отзывов о диоксиде циркония , я замечталась о новых коронках и пришла с запросом к Владиславу Дмитриевичу . На первом же приеме был прописан подробнейший план лечения , с этапами работ и стоимостью по каждому этапу . То есть не надо гадать,сколько с тебя возьмут за прием , заранее установленная стоимость не изменяется . Лечение зубов , подготовка к новым коронкам прошла идеально, не было боли или дискомфорта . Владислав Дмитриевич мастерски владеет микроскопом , плюс новейшее оборудование в клинике придавало чувство абсолютного доверия . Сами коронки получились идеальными не с первого раза , но техник старался , и как говорится не ошибается тот , кто не работает . По итогу у меня идеальные новые коронки; по ощущениям и настроению сравнимо , когда выезжаешь на новом авто из салона , так я счастлива . Я благодарю всех причастных к моему лечению : ассистента Анастасию , которая дирижировала инструментами, помогая доктору , менеджеров и администраторов клиники . Абсолютно всё в клинике на высшем уровне : от космического медицинского оборудования до оснащения в туалетах. Про дизайн клиники и эстетичные комнаты ожидания писать не буду , ниже в отзывах много подтверждающих фото . Всем желаю здоровых и счастливых улыбок !

Здравствуйте. Хочу сказать и выразить огромную благодарность всему персоналу, за тëплый приëм. Комфортное обслуживание. За приятные подарочки в виде зубной щëточки. Давно наблюдаю за врачами в интернете, смотрю результаты до и после, как они восстанавливают, практически сложные зубы.
Решилась тоже обратиться за помощью, именно в эту клинику. Нисколечко не пожалела.

Отдельное человеческое спасибо передаю врачу Зотову В. Д. За отлично проделанную работу, восстановил мне полностью от и до сложный зубик. Советую именно эту клинику, "Практик". Дорогие мои, вовремя обращайтесь в эту клинику за помощью и лечите свои зубки. Не затягивайте с визитом. После посещения данной клиники, вы уйдëте в хорошем настроении и с целыми зубками.

Нашла информацию о клинике в сети Интернет. Записалась на приём к Зотову В. Вылечила кариес 2-х зубов. Перелечила зуб, который ранее лечила в другой клинике. Очень терпеливый доктор, выслушивает пациента. Работу выполняет добросовестно и качественно.

Так уж получилось, что все мои предыдущие визиты к стоматологам решали исключительно точечные проблемы. Случайно оказавшись на приеме у Владислава Дмитриевича, была приятно удивлена: доктор спокойно и обстоятельно объяснил все нюансы состояния моих зубов, наглядно все показав на снимках, попутно дал рекомендации по поводу обращения к специалистам других смежных профилей. Не задумываясь, приняла решение о лечении именно у этого доктора, о чем я ни разу не пожалела. В результате очень кропотливой и аккуратной работы все зубы обрели здоровый и привлекательный внешний вид, стали выглядеть «один к одному»: никаких видимых пломб и иных дефектов.
Владислав Дмитриевич, спасибо за скрупулезную работу и внимательное отношение. Нет сомнений в Ваших дальнейших успехах в профессии!
Адрес/телефон:
г. Тюмень, улица 8 Марта, 1
+7 (3452) 699-992
Мы наблюдаем агрессивный конкурентный трафик в виде звонков и сообщений от конкурентов нашим клиентам. Подобные звонки и сообщения осуществляются через бизнес сервис сотовых операторов. Для отключения таких звонков и сообщений: проверьте свой контракт с сотовым оператором и отключите функцию «согласие на сообщения и звонки от базы партнеров сотового оператора»
ВВЕРХ