Наращивание зуба
В каких случаях применяют восстановление:
- кариес сильно повредил коронку;
- откололась часть зуба из-за удара или привычек (например, скрежет зубами ночью);
- подготовка под искусственную коронку;
- нужно изменить форму, длину или убрать щели;
- временно восстанавливают передний зуб, если пока нельзя ставить имплант.
Сначала врач оценивает, можно ли сохранить зуб. Если да, то подбирает материал и объясняет, как будет проходить работа.
Повреждение кариесом
Если коронка разрушилась менее чем наполовину, восстановление возможно. При кариесе врач удаляет поврежденные ткани и слой за слоем возвращает форму с помощью композитного материала. Он затвердевает под лампой и хорошо сцепляется с поверхностью. Процесс выглядит так:
- Сначала делается обезболивание.
- Устанавливается коффердам (латексный платок для изоляции).
- Удаляются пораженные ткани и наносится кариес-маркер.
- Поверхность обрабатывается и подготавливается к реставрации.
- Врач накладывает материал порционно, моделирует и шлифует, чтобы получить тот самый «блик» и краевой валик правильной формы.
- Затем врач окрашивает реставрацию, придает зубу естественный вид.
«Если разрушение не затрагивает более 50% объема, зуб полностью восстанавливается. Современные композиты имитируют анатомию настолько точно, что отличить их от настоящих единиц сложно даже под увеличением», – говорит стоматолог-терапевт.
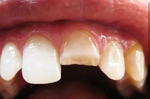
Сколы эмали после травмы
Даже если от зуба откололся кусочек, это не повод для паники. Особенно часто это происходит из-за ударов, бруксизма (скрежета ночью) или при неправильном прикусе. Врач восстанавливает поврежденную часть тем же методом, что и при кариесе, но уже без глубокого сверления. Здесь важно подобрать оттенок зуба, чтобы не выделялся на фоне остальных.
Особенности наращивания при сколе:
- быстро (в среднем до 40 минут);
- безболезненно;
- требует высокой точности;
- идеально для передних резцов.
Обратите внимание! Даже небольшой скол лучше восстановить сразу. Микротрещины со временем увеличиваются, и тогда уже может понадобиться не наращивание, а более серьезное лечение, например, протезирование.
Подготовка к коронке
Когда больше половины зуба разрушено, обычное восстановление уже не подойдет. В таких случаях проводят укрепление перед установкой искусственной коронки - билд ап build-up). Сначала в канал помещают стекловолоконный штифт. Он действует как каркас, на который врач наслаивает пломбировочный материал. Затем вся конструкция покрывается коронкой. При обширной потере естественных тканей зуба коронка выдерживает жевательные нагрузки гораздо лучше, чем наращивание из композитного материала и предохраняет зуб от разрушения.
Эстетика и исправление формы
Когда человек хочет изменить внешний вид зубного ряда, убрать щели (диастемы), откорректировать форму или цвет, используется так называемое восстановление по ключу. Сначала делают 3D-модель зубов. Затем по полученному образцу формируется идеальная анатомическая форма. По ней врач воссоздает естественный контур зуба, полностью сохраняя здоровую эмаль.
Важно! Врачи рекомендуют проводить эту процедуру с использованием керамических материалов, то есть протезирования керамическими реставрациями - винирами или коронками. Улыбка в этом случае сразу становится аккуратнее, пропадает визуальный дисбаланс, а человек чувствует себя увереннее.
Композитные виниры
Иногда человеку хочется не просто подлатать зуб, а полностью изменить улыбку. Сделать ровнее, осветлить эмаль, убрать щели. Ранее большую популярность приобрели композитные виниры. Это кропотливая работа, где врач моделирует каждый зуб вручную с использованием композитного (пломбировочного) материала. Сейчас врачи и многие пациенты отдают предпочтение более надежным и эстетичным материалам - керамика, диоксид циркония. Такая реставрация прослужит намного дольше и будет в точности воспроизводить естественный цвет и форму зуба.
В любом случае, сначала делают цифровой скан челюсти. Потом планируют, как будет выглядеть новая улыбка. После этого идет настоящая ювелирная работа. Либо стоматолог берет светоотверждаемый материал и послойно наносит его, сочетая оттенки, прозрачность и форму. Либо зубной техник в лаборатории создает новый зуб из керамики или диоксида циркония. После изготовления стоматолог-ортопед проводит фиксацию новой реставрации.
«Такую реставрацию нельзя делать “на глаз”. Нужно понимать, как работает свет, как выглядит натуральная эмаль. Чаще всего стоит отдать предпочтение керамике, так результат получится надежный и естественный.», – говорит врач-стоматолог.
Когда наращивание невозможно
Бывает, когда спасти зуб уже нельзя. В таких случаях даже самые современные материалы не помогут.
Основные причины, когда не проводят наращивание:
- разрушение уходит глубоко под десну;
- кариес затронул корень;
- есть трещина по корню или перелом.
В таких ситуациях врач предложит другие варианты, например, удалить зуб и установить имплант или временно поставить мост.
Чем восстанавливают зубы
Для всех видов наращивания и реставраций применяются специальные композиты. Это пластичный материал, который твердеет под воздействием синей лампы. Он безопасен, долговечен и хорошо держится.
Врач подбирает оттенок, прозрачность и текстуру. Один зуб может содержать до 3-4 оттенков, чтобы он выглядел максимально естественно, особенно в зоне улыбки. Чем хороши современные композиты:
- прочные – выдерживают жевательную нагрузку;
- визуально похожи на настоящие зубы;
- легко полируются;
- служат долго при правильном уходе.
Каждый материал отличается по плотности, цвету и светопропускаемости. Врач точно знает, какой подойдет именно в вашем случае.
Как ухаживать за зубом после наращивания
Чтобы реставрация прослужила долго, важно соблюдать несколько простых правил. Они несложные, но действительно работают. После процедуры нужно:
- чистить зубы мягкой щеткой;
- избегать отбеливающих паст (смотрите абразивность на упаковке – не выше 100 RDA);
- не грызть орехи, карамель и прочие твердые продукты;
- раз в полгода приходить на полировку и профгигиену;
- внимательно следить за прикусом и не пропускать осмотры.
Важно! Если зуб был сильно разрушен и на него ушло много материала, он прослужит чуть меньше. В среднем – 3-5 лет. А вот небольшая реставрация легко выдерживает 7-10 лет. Все зависит от размера, прикуса и ухода.
Когда действительно нужно наращивание
Наращивание помогает сохранить свой зуб. Если корень жив и прочен, то восстановить верхнюю часть гораздо лучше, чем удалять. Главное – не тянуть.
Основные случаи, когда проводят наращивание:
- при разрушении коронковой части (до половины);
- если откололся кусок после травмы;
- при подготовке к установке коронки;
- когда нужно изменить форму, закрыть щели или откорректировать цвет;
- если нужно временно восполнить утрату переднего зуба, а имплантация пока невозможна.
Обратите внимание! Чем раньше вы придете к врачу, тем выше шанс сохранить свой зуб, а не заменять его протезом или имплантом. Даже если материал уже откалывается или старый, реставрацию можно обновить.
Современная стоматология – это не «пломба на скорую руку», а точная, аккуратная работа. Хорошо сделанное наращивание выглядит натурально, служит годами, возвращает комфорт и уверенность в себе.
Цена услуг
С полным прайс-листом услуг Вы можете ознакомиться на странице "Цены".