Пн-Пт: с 9:00 до 20:45
Сб: с 9:00 до 20:00
Вс: с 10:00 до 17:00
+7 (3452) 699-992 Обратный звонок
Меню

Оленёв Андрей Олегович

Специализация: Ведущий стоматолог-ортопед
Стаж работы: 20 лет

Основные критерии в моей работе - это качество и скорость. Это дает мне возможность сохранять необходимую концентрацию внимания и выполнять работу максимально качественно, а пациенту — комфорт и драгоценное время.

Андрей Олегович Оленёв — один из лучших специалистов в области ортопедии в Тюмени.

Отличник стоматологии по версии Стоматологической ассоциации России.

Владеет современными методиками протезирования зубов, регулярно повышает квалификацию и точно знает, как восстановить вашу улыбку так, чтобы вы наслаждались ею долгие годы. В своей практике он делает акцент на долговечность, комфорт и эстетический результат, подбирая решения, которые действительно работают на долгосрочную перспективу. Благодаря тщательному планированию, анатомически точному подходу и вниманию к окклюзии, каждый восстановленный зуб не только выглядит естественно, но и функционирует безупречно.

Услуги, за которыми вы можете обратиться к Андрею Олеговичу:

  • Консультация стоматолога-ортопеда
  • Протезирование зубов, установка коронок, в том числе повышенной эстетики
  • Виниры
  • Несъёмное и съёмное протезирование
  • Полные съёмные протезы
  • Условно-съемные протезы
  • Протезирование на имплантах
  • Функциональное и эстетическое восстановление
  • Микропротезирование.

Что входит в консультацию:

  • Индивидуальная консультация с врачом-ортопедом Оленёвым А.О.
  • Визуальная оценка состояния полости рта с применением фотопротокола
  • Возможность виртуального предварительного просмотра результата (по согласованию)
  • Подбор оптимальной ортопедической методики, подходящей вашему клиническому случаю
  • Составление пошагового плана лечения с прогнозом сроков и расчётом стоимости.

Опыт врача подкреплён серьёзной образовательной базой. Андрей Олегович прошёл обучение у признанных экспертов:

  • Курс по гнатологии у Александра Будовского помогает точно учитывать особенности прикуса и нагрузки на зубы
  • Практикум по имплантологии позволяет грамотно планировать протезирование на имплантах
  • Семинар по эстетической реабилитации с использованием виниров даёт навыки воссоздания естественной и привлекательной улыбки
  • Курс по 3D-диагностике расширяет точность в оценке и планировании лечения
  • Программа по ортопедическому лечению от Евразийской Ассоциации эстетической стоматологии усиливает комплексный подход к каждому случаю.

Все эти знания дают пациенту уверенность: лечение у Андрея Олеговича не просто эффективно, а индивидуально выверено, безопасно и эстетично.

Стоматолог-ортопед с 20-летним опытом, он точно знает, как превратить стоматологическое лечение в понятный и результативный путь к качественной жизни.

Ваша улыбка — в надёжных руках.

Действующие сертификаты:

№0172040005954 «Стоматология ортопедическая»  26.12.2028 г.

в 2005 году окончил Государственное образовательное учреждение высшего профессионального образования "Пермская государственная медицинская академия Федерального агентства по здравоохранению и социальному развитию", получив специальность Врач-стоматолог.

В 2007 врач окончил клиническую ординатуру по специальности "Стоматология ортопедическая".

В 2013 году Андрей Олегович прошел повышение квалификации в государственном бюджетном образовательном учреждении высшего профессионального образования "Тюменская государственная медицинская академия" Министрества здравоохранения Российской Федерации (ГБОУ ВПО ТюмеГМА Минздрава России), получив специальность "Стоматология ортопедическая".

В 2018 году доктор прошел повышение квалификации в федеральном государственном бюджетном образовательном учреждении высшего профессионального образования "Тюменский государственный медицинский университет" Министерства здравоохранения Российской Федерации (ФГБОУ ВО Тюменский ГМУ Минздрава России), получив специальность "Стоматология ортопедическая".

Образование

Сертификаты и дипломы врача

Сертификаты и дипломы Оленёв Андрей Олегович
Сертификаты и дипломы Оленёв Андрей Олегович
Сертификаты и дипломы Оленёв Андрей Олегович
Сертификаты и дипломы Оленёв Андрей Олегович
Сертификаты и дипломы Оленёв Андрей Олегович
Сертификаты и дипломы Оленёв Андрей Олегович
Сертификаты и дипломы Оленёв Андрей Олегович
Сертификаты и дипломы Оленёв Андрей Олегович
Сертификаты и дипломы Оленёв Андрей Олегович
Сертификаты и дипломы Оленёв Андрей Олегович

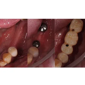
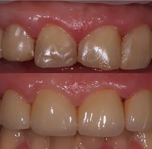
До и после

Работы специалиста
Работы специалиста
Работы специалиста
Работы специалиста
Работы специалиста
Работы специалиста
Работы специалиста
Работы специалиста
Работы специалиста
Работы специалиста
Работы специалиста
Работы специалиста

Отзывы о враче Оленёв Андрей Олегович


Андрей Оленев проверенный врач: все по делу, без лишней воды, с четким пониманием, как решить проблему. Протезирование завершилось, спасибо за результат. Рекомендую однозначно

Первый раз привела сюда маму на протезирование. Понравилось отношение врачей. Очень чутко и дружелюбно общались, объяснили каждое действие. Атмосфера располагает к спокойствию. Нам повезло попасть к стоматологу-ортопеду Андрею Олеговичу Оленеву.С первого приема он произвел впечатление настоящего профессионала: спокойный, уверенный и внимательный. Лечение заняло почти год, так как работа была большая - протезирование на обе челюсти. Результат того стоил. Всем рекомендуем!

Клиника "Практик" очень понравилась, коллектив вы супер. Андрей Олегович, Вам огромная благодарность за вашу практику которую ни кто не заменит, приём и понимание ситуации пациента просто на высшем плане, желаю чтоб вы поднимались по карьерной лестнице с лёгким подъёмом вдохновения. Очень приятно посещать и безбоязненно такие места, когда есть такие врачи. Благодарю Вас за вашу отзывчивость и ваш не лёгкий труд.

Когда решила поставить коронки, начала искать клиники и решила обратиться в клинику "Практик" к Андрею Олеговичу в Тюмень. На консультации доктор всё доступно объяснил, отправил на снимок, сделал 3D сканирование. После чего был составлен подробный план лечения. Мне было важно, чтобы коронки были изготовлены в обговоренные сроки. Так как я приезжала из другого города было немного волнительно, но постоянные коронки получила в точно назначенное время, без задержек. Работа врача проходила технично и уверенно. Доктор сделал всё быстро и аккуратно. В итоге коронки встали идеально. Спасибо доктору за его работу!

К Андрею Олеговичу специально приезжаю с севера. Первый раз обратилась к нему со своей проблемой, но у меня было недостаточно времени для того, чтобы выполнить работу хорошо. Доктор мог бы сделать работу на "скорую руку" и отправить меня, зная, что я уеду и не смогу приходить со своим проблемами. Но Андрей Олегович сказал мне, что не любит так работать, и убедил меня не спешить, а сделать тогда, когда будет больше времени. Этим он меня и взял. Так создается хорошая репутация. К другому доктору пойти даже мысль не возникала, я уверена: буду ходить именно к нему. Доктор работает качественно и профессионально. Никаких проблем после выполненной работы у меня не было. Это очень приятный и тактичный человек, всегда в хорошем настроении и встречает пациента с улыбкой. Рекомендую. Я очень ему благодарна! Всего самого доброго моему доктору, благодарных пациентов!

Оставить свой отзыв врачу

Текст отзыва *
Перетащите файлы
Ничего не найдено
Адрес/телефон:
г. Тюмень, улица 8 Марта, 1
+7 (3452) 699-992
Мы наблюдаем агрессивный конкурентный трафик в виде звонков и сообщений от конкурентов нашим клиентам. Подобные звонки и сообщения осуществляются через бизнес сервис сотовых операторов. Для отключения таких звонков и сообщений: проверьте свой контракт с сотовым оператором и отключите функцию «согласие на сообщения и звонки от базы партнеров сотового оператора»
ВВЕРХ