Пн-Пт: с 9:00 до 20:45
Сб: с 9:00 до 20:00
Вс: с 10:00 до 17:00
+7 (3452) 699-992 Обратный звонок
Меню
Чистка зубов
Чистка зубов
В стоматологической клинике ПRАКТИК врачи проводят лечебно-профилактическую программу ухода за зубами и деснами Denticure, что позволяет защитить зубы от кариеса и предотвратить заболевания десен. Запишитесь с выгодой 15%!

Чистка зубов

Мягкий зубной налет начинает формироваться уже через два часа после приема пищи, и если от него не избавиться полностью, очищая качественно все поверхности, то он превращается в зубные отложения, в которых активно размножаются вредоносные бактерии, вызывающие различные заболевания. Большинство людей просто не знают, как правильно чистить зубы, а также использовать дополнительные средства.
Лечебно-профилактическая программа ухода за зубами и деснами Denticure – уникальный уходовый комплекс, который удаляет зубной налет и загрязнения, укрепляет эмаль, восстанавливает здоровье воспаленных десен. Процедура помогает предотвратить развитие кариеса, заболевания десен, осветлить эмаль, усовершенствовать ежедневную домашнюю гигиену ротовой полости.

Этапы Denticure SPA:

  • осмотр, индикация налета;
  • полная наддесневая и поддесневая очистка всех поверхностей зубов от пигментированного и мягкого налета и зубного камня аппаратом «Air Flow»;
  • очищение зубного камня с применением ультразвука;
  • очистку, полировку, осветление зубов на 1-2 тона;
  • массаж десен с нанесением противовоспалительного геля для улучшения лимфотока;
  • укрепление эмали питающими элементами - реминерализация и фторирование эмали;
  • индивидуальный подбор наиболее эффективных средств домашнего ухода.

В спа-программе Denticure мы используем специальные стоматологические составы и инструменты для устранения мягких и твердых загрязнений на зубной эмали, восстановления ее природного оттенка, защиты от влияния окружающей среды при высокой чувствительности зубов, профилактики воспалительных процессов в пародонте. Это не только профессиональная чистка зубов, но и уходовые процедуры для полости рта, насыщение тканей полезными микроэлементами.

Профилактика и гигиена полости рта

Укрепление зубов

Полируем эмаль и наносим на нее гели с содержанием фтора и кальция, которые восстанавливают ее ослабленную структуру.

Профилактика и гигиена полости рта

Чистка Air-Flow

Устраняем мягкий налет потоком воды с абразивными частицами.

Профилактика и гигиена полости рта

Ультразвуковая чистка

С помощью ультразвукового скалера разрушается камень на поверхности зубов и под десной на глубине до 2 мм.


Преимущества комплексного спа-ухода «Дентикюр»

Комплекс дентального спа DENTICURE, направлен на:

  • устранение патогенных бактерий, снятие био-пленки;
  • профилактика кариеса;
  • укрепление местного иммунитета;
  • профилактику появления зубного камня;
  • снижение чувствительности эмали.

При регулярном проведении (не реже 1 раза в пол года) комплекс Denticure поддерживает гигиену ротовой полости и служит профилактикой стоматологических заболеваний. Во время процедуры вы ощутите комфорт и расслабление, а после - чувство эталонной чистоты вашей ротовой полости и совершенную гладкость эмали. Запишитесь сейчас с выгодой -15%.


Кому показана процедура Denticure:

  • тем, кто заинтересован в профилактике пародонтита, кариеса, гингивита, воспаления и прочих нарушений;
  • тем, кто готовится к имплантации, установке брекетов, лечению и протезированию зубов;
  • у кого высокая чувствительность зубов и дёсен;
  • тем, у кого потемнела эмаль;
  • любителям кофе, красного вина и сладкого;
  • тем, кто курит;
  • беременным.

Противопоказания к процедуре: наличие ОРВи и заболеваний, затрудняющих дыхание, нарушения свертываемости крови, гепатит, ВИЧ, туберкулез.

Комплексная процедура дентального SPA в клинике.

Опыт и квалификация врача-гигиениста гарантируют заботливое отношение к пациенту, максимальную эффективность процедур, минимум дискомфорта и неприятных ощущений.

Результат оздоровительной спа-программы – сияющая улыбка и индивидуальные профессиональные рекомендации по дальнейшему уходу за зубами и всей полостью рта.

Профилактика и гигиена полости рта

Снижение чувствительности

Эмаль, обогащенная кальцием и фтором, в значительно меньшей степени реагирует на раздражающие продукты.

Профилактика и гигиена полости рта

Отбеливающее действие

После профгигиены зубы светлеют на 1–2 тона, так как с их поверхности удален весь налет
и красящие пигменты.

Профилактика и гигиена полости рта

Укрепление зубов

Очищенная и восстановленная эмаль долгое время способна противостоять негативному воздействию бактерий.


Цена услуг

Профессиональная гигиена - DENTICURE
Профессиональная гигиена полости рта и зубов. Denticure SPA Premium
от 7 900 ₽
Профессиональная гигиена полости рта и зубов. Denticure SPA (чаще 1 раза в 3 месяца), повторный приём
от 4 900 ₽
Профессиональная гигиена полости рта и зубов. "Denticure Kids" (2-17 лет)
4 500 ₽
Профессиональная гигиена полости рта. Дентикюр Smart (от 14 до 18 лет)
от 5 000 ₽
Отбеливание
Профессиональное отбеливание зубов Beyond клиническое за один визит (2 челюсти в линии улыбки) аппаратом
от 24 900 ₽
Профессиональное отбеливание зубов клиническое ламповое ZOOM4 (обе челюсти)
от 49 900 ₽

С полным прайс-листом услуг Вы можете ознакомиться на странице "Цены".

Наши специалисты

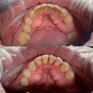
До и после

Результаты лечения
Результаты лечения
Результаты лечения
Результаты лечения
Результаты лечения
Результаты лечения
Результаты лечения
Адрес/телефон:
г. Тюмень, улица 8 Марта, 1
+7 (3452) 699-992
Мы наблюдаем агрессивный конкурентный трафик в виде звонков и сообщений от конкурентов нашим клиентам. Подобные звонки и сообщения осуществляются через бизнес сервис сотовых операторов. Для отключения таких звонков и сообщений: проверьте свой контракт с сотовым оператором и отключите функцию «согласие на сообщения и звонки от базы партнеров сотового оператора»
ВВЕРХ