Пн-Пт: с 9:00 до 20:45
Сб: с 9:00 до 20:00
Вс: с 10:00 до 17:00
+7 (3452) 699-992 Обратный звонок
Меню
Диоксид циркония
Диоксид циркония
Идеальное решение по восстановлению зубов. Никто даже не заметит, что вы установили себе коронки! Этот метод полностью эстетичен. Опытные ортопеды клиники Практик обеспечат предельно-точный результат благодаря индивидуальному цифровому протоколу.

Реставрация зубов на основе диоксида циркония

Диоксид циркония - гипоаллергенный материал с высокой степенью эстетичности и хорошими показателями прочности - то, в чем нуждаются наши пациенты.
Профессиональная реставрация на основе диоксида циркония в стоматологии «ПРАКТИК» - эффективное решение проблемы для гарантии длительного срока службы.

Изготовление коронок из диоксида циркония

На первом приеме стоматолог осматривает полость рта и выбирает метод восстановления эстетичности и функциональности зубов. Благодаря внутричелюстному 3D-сканеру 3Shape можно не изготавливать привычные слепки, которые в будущем придется примерять и производить многократную подгонку. Полученная цифровая модель челюстей отправляется в лабораторию.

Точное моделирование производится компьютерной программой. Созданные по прототипам изделия отличаются высочайшей точностью, фиксируются максимально плотно, без зазоров и хорошо выглядят.

Для установки в зоне улыбки коронка из диоксида циркония обрабатывается тонким керамическим слоем. Диоксид циркония с керамическим нанесением используется для восстановления фронтальных зубов.

При изготовлении комбинированного вида коронки – диоксид циркона с керамической облицовкой, на каркас из циркония мастер наносит слой керамики. Затем керамическое покрытие на основе диоксида циркония подвергается обжигу, что придает ей нужную прочность.

Монолитные коронки из диоксида циркония устанавливают при протезировании жевательных зубов в боковых группах.

Процесс создания коронки завершается приданием керамической поверхности желаемого цвета, который идеально сочетается с естественными зубами пациента.

После этого коронка готова к установке.

Диоксид циркония

Диоксид циркония


Диоксид циркония

Процесс изготовления реставрации на основе диоксида циркония проходит согласно передовым технологиям стоматологии, поэтому она всегда идеально подойдет только к вашему зубу. Сколы и повреждения бывают различной формы и глубины, зубной техник создает эксклюзивные авторские работы, качество которых всегда на высоте.


Этапы установки коронки из диоксида циркония

  • После осмотра и моделирования при помощи программы все данные отправляются в лабораторию для изготовления конструкции.
  • Зуб проходит обтачивание под изделие и стоматолог проводит "примерку" коронки. При необходимости корректирования она отправляется в лабораторию для окончательной подгонки.
  • Фиксирование коронки или вкладки на цемент.

Реставрация с применением диоксида циркония позволит Вам улыбаться, не стесняясь. Ведь Ваши зубы будут безупречными.

Диоксид циркония

Долговечность

Диоксид циркония

При правильной эксплуатации изделие из такого материала служит 15 и более лет. Уход за ним прост и мало чем отличается от гигиенических процедур за натуральными зубами.


Цена реставрации на основе диоксида циркония в стоматологии определяется при первичном осмотре. Стоимость зависит от степени разрушения и количества зубов, требующих реставрации.

Наша стоматология проводит реставрацию зубов с применением диоксида циркония с высокой степенью эстетичности и стабильностью. Ортопеды предложат Вам идеальный вариант восстановления коронки.

Диоксид циркония

Преимущества и недостатки циркониевых коронок

Циркониевые коронки активно применяются в стоматологии благодаря уникальным свойствам материала:

  • Исключительная прочность, сравнимая с металлическими аналогами, что позволяет им выдерживать интенсивные жевательные нагрузки.
  • Гипоаллергенный материал полностью биосовместим с организмом, не провоцирует раздражение или отторжение.
  • Минимальное стачивание зубов при установке требует меньше вмешательства, чем в случае с металлокерамическими конструкциями.
  • Низкая теплопроводность предотвращает неприятные ощущения от температурных воздействий (горячая или холодная пища).
  • Идеальная совместимость с имплантами достигается благодаря отсутствию металлов, исключая риск электрохимических реакций.

Из минусов коронок из диоксида циркония можно выделить сложность изготовления требует специализированного оборудования и навыков, что увеличивает итоговую стоимость.

Показания и противопоказания

Показания к установке:

  • Восстановление эстетики передних зубов (трещины, сколы, изменение цвета эмали).
  • Протезирование жевательных зубов благодаря устойчивости к нагрузкам.
  • Аллергия на металлы в составе других коронок.
  • Необходимость маскировки дефектов при адентии (отсутствии зубов).
  • Реставрация зубного ряда после травм или заболеваний, повредивших твердые ткани.

Коронки из диоксида циркония не устанавливают при острых воспалительных процессах в полости рта, тяжелом остеопорозе, неконтролируемом бруксизме, а также при аномалиях прикуса. В таких случаях стоматолог подбирает альтернативные методы, например временные протезы или конструкции из других материалов.

Цена услуг

Консультация
Прием (осмотр, консультация) стоматолога-ортодонта первичный
от 980 ₽ до 3 500 ₽
Реставрация
Восстановление зуба реставрацией из диоксида циркония. Точную стоимость рассчитывает врач на приёме
от 30 800 ₽
Восстановление зуба реставрацией из диоксида циркония с нанесением
30 800 ₽
Изготовление индивидуального абатмента на имплантате на основе диоксида циркония/титана Dentium
25 300 ₽
Изготовление индивидуального абатмента на имплантате на основе диоксида циркония/титана Straumann
29 700 ₽
Имплантация
Восстановление зуба реставрацией на основе диоксида циркония на имплантате Dentium с винтовой фиксацией (без учета стоимости титанового основания)
от 41 800 ₽
Восстановление зуба реставрацией на основе диоксида циркония на имплантате Straumann с винтовой фиксацией (без учета титанового основания)
от 49 500 ₽

С полным прайс-листом услуг Вы можете ознакомиться на странице "Цены".

Наши специалисты

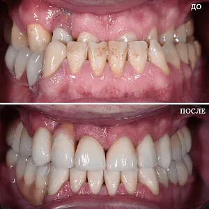
До и после

Результаты лечения
Результаты лечения
Результаты лечения
Адрес/телефон:
г. Тюмень, улица 8 Марта, 1
+7 (3452) 699-992
Мы наблюдаем агрессивный конкурентный трафик в виде звонков и сообщений от конкурентов нашим клиентам. Подобные звонки и сообщения осуществляются через бизнес сервис сотовых операторов. Для отключения таких звонков и сообщений: проверьте свой контракт с сотовым оператором и отключите функцию «согласие на сообщения и звонки от базы партнеров сотового оператора»
ВВЕРХ